A Study on Contagious Bovine Pleuropneumonia in Khartoum State, Sudan
Abstract
The study was carried out to investigate the occurrence of contagious bovine pleuropneumonia CBPP in Khartoum state. One-hundred twenty-two pneumonic lung tissue samples were collected from different slaughterhouses (116 samples most of which from local breed cattle) and from the field (six samples from cross breed cattle). Two-hundred and fifty-seven serum samples were collected randomly from cattle in different areas of the state. Tissue samples were cultivated using the standard mycoplasma procedures. Mmm was isolated from three pneumonic lungs collected from the field while no isolates were recovered from slaughterhouse samples. Histopathological sections from the positive samples revealed the typical picture of the CBPP which include fibrinonecrotic pneumonia within filtration of inflammatory cells and fibrin and distention of interlobular septae. One hundred and eight out of 257 serum samples were found positive for antibodies against Mmmusing complement fixation test (CFT). Findings of this study confirmed the presence of CBPP in Khartoum state by the isolation and identification of the causative agent.
Author Contributions
Academic Editor: Mohammed Elmetwally, Assistant Prof of Theriogenogy, Texas A&M University
Checked for plagiarism: Yes
Review by: Single-blind
Copyright © 2017 Isam Karam, et al.
This is an open-access article distributed under the terms of the Creative Commons Attribution License, which permits unrestricted use, distribution, and reproduction in any medium, provided the original author and source are credited.
Competing interests
The authors have declared that no competing interests exist.
Citation:
Introduction
Contagious bovine pleuropneumonia (CBPP), which is caused by Mycoplasma mycoides subsp. mycoides (Mmm), is a highly contagious respiratorydisease primarily of cattle 1. The Pan African programme for the Control of Epizootics (PACE) has identified CBPP as the second most important transboundary disease in Africa after rinderpest. The disease represents a real problem to cattle health and production in Africa and estimates of annual losses in some countries account for 3.7 million Euros per country in the African sub-Saharan region 2. Although the disease was eradicated in many developed countries in the world, Africa is still suffering and the incidence of the disease is continuously increasing in some countries. Reasons for the persistence of CBPP in Africa include uncontrolled cattle movement, cessation of vaccination campaigns and decreased surveillances 3.
The causative agent, which was first isolated by Nocard E. and Roux E. 4, is a member of the "Mycoplasma mycoides cluster". The cluster includes five biochemically and antigenically similar mycoplasma of animal importance 5. Formerly, Mmm was known as Mmm (small colony SC– type) and grouped together with Mmm (large colony LC– type) in a single subspecies. Later, the two mycoplasma, based on genetic differences, were separated in different subspecies and referred to as Mycoplasma mycoides subsp. mycoides and Mycoplasma mycoides subsp. Capri respectively 6.
In the Sudan, the disease was first reported in 1875 in Darfur Province then it spread gradually to the most parts of the country except the Northern Sudan 7. In Khartoum state, the disease was reported sporadically 8 but the actual status in the State was not clear.
The current research was carried out to study the current status of CBPP in Khartoum state using bacteriological and serological techniques.
Materials and Methods
Samples were collected from different slaughterhouses in Khartoum State located between latitudes 15°8 ̀- 16°39 ̀N and longitudes 31° 36 - 34° 25 ̀e between January– March. A total of 1786 animals were investigated and 116 pneumonic lung tissue samples were collected from animals showing lung lesions (Table 1). Pneumonic lung tissues, lymph nodes and sera were also collected from six animals showing typical clinical signs and PM lesions of CBPP at Hilat Kuku in Khartoum North. A total of 257 serum samples were collected randomly from dairy farms and cattle herds in Khartoum State.
Table 1. Sources of lung tissue samples collected from differents laughterhouses in Khartoum State.| Slaughter house | No. of Animals | condemned lungs | Pneumonic lungs |
| Khartoum | 1020 | 78 | 58 |
| East Nile | 77 | 7 | 4 |
| Al Kadro | 220 | 7 | 5 |
| Al Bogaa | 110 | 15 | 12 |
| Al Huda | 94 | 14 | 12 |
| Alsbaloga | 35 | 13 | 13 |
| Ganawa | 230 | 15 | 12 |
| Total | 1786 | 149 | 116 |
Collection of Samples
Tissue specimens (5 cm3) were aseptically cut from the interface between affected and normal tissue and placed in sterile plastic bags, labeled and transported within hours at 4 ºC to the Central Veterinary Research Laboratory in Soba. For histopathology, small pieces (about 2 cm3) representing the pneumonic tissue was fixed in 10% formal saline.
For collection of serum, ten ml of blood samples were collected from the jugular vein in sterile vacutainers. Samples were left at room temperature for one hour then at 4 ºC overnight. Sera were aspirated with sterile pipette after centrifugation (3000 rpm for 10 minutes), placed in sterile containers and stored at –20ºC till used.
Bacteriology
Isolation and identification of mycoplasma was carried out using standard procedures. A liter of basic medium of beef heart infusion (Oxoid) supplemented-with 10 g tryptose, 30% yeast extract (20 ml), 20% inactivated horse serum, 50% glucose (2ml), in addition to penicillin 100,000 1U (0.33 ml) and 10% thallium acetate (0.25 ml) was used in the study 9, 10.
Lung tissue samples were pulverized in broth media. The suspension was three tenfold diluted in the broth medium and each dilution was plated on the same sold medium. The pleural fluid was inoculated directly without previous dilution into broth medium. Both cultures were incubated micro-aerophilically (in humid chamber for solid cultures) at 37°Cfor three to ten days.
After purification, the isolates were identified by cultural (excluding the L-form bacteria, colonial morphology, rate of growth and the characteristic faint turbidity into broth medium), biochemical (Digitonin test) and serological (growth inhibition test using specific anti sera as described by 11 methods. Isolates were aliquoted in 2-ml volumes and stores at – 20⁰C.
Serology
Complement fixation test (CFT) was used to examine serum samples for antibodies against Mmm as described by Lindley 12.
Histopathology
Pneumonic lung tissue samples, fixed into 10% formalin, were prepared for histopathological examination according to Bancroft and Steven 13.
Results
Isolation of Mycoplasma Mycoides Subsp. Mycoides
No mycoplasma was isolated from slaughterhouse samples. Three mycoplasma isolates were recovered from three out of six cases showing typical clinical signs and P.M. lesions. The isolates were identified as Mmm depending on cultural characteristics (Figure 1), digiton in test (Figure 2), and growth inhibition test.
Figure 1.Colonial morphology of Mmm of recent field isolate grown on heart infusion agar after 3 days of incubation (×40).
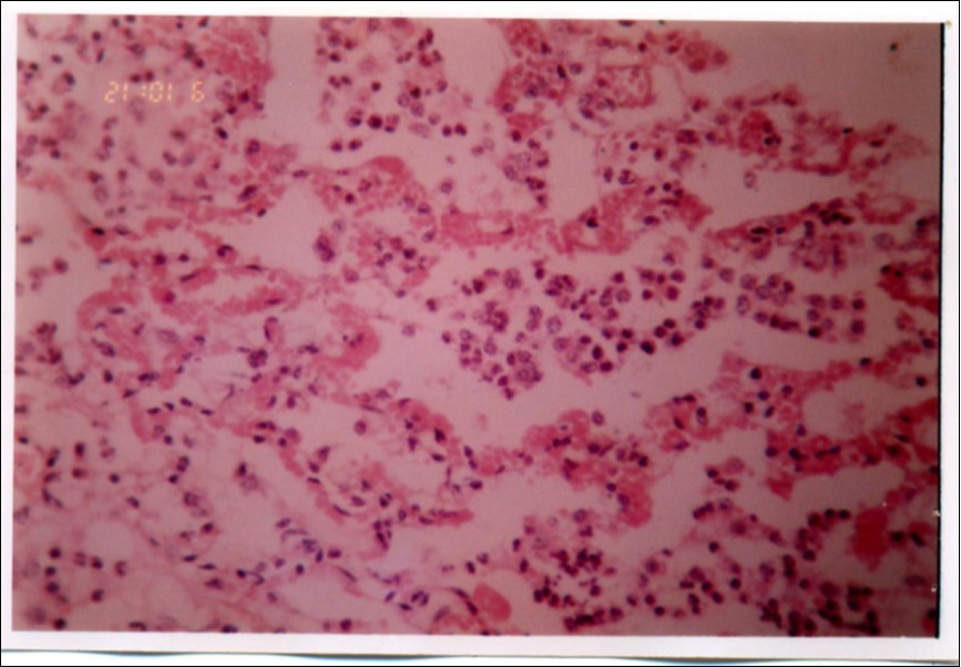
Histopathology
Figure 3, Figure 4 and Figure 5 show different histopathological pictures of hepatized lung tissue samples from which Mmm isolates were recovered. In Figure 3, widened interlobular septa, due to presence of fibrinous necrosis and cellular infiltration were observed. Figure 4 shows extensive loss of airspace due to necrosis and infiltration of neutrophils. Figure 5 shows hyperemia of alveolar wall capillaries and infiltration of few fibrin and neutrophils.
Figure 3.Widened interlobular septa in pneumonic lung tissue (H&E ×200).
Figure 4.Extensive loss of air space due to necrosis and infiltration of neutrophils (H&E ×100).
Figure 5.Hyperemia of alveolar wall capillaries, presence of few fibrin and neutrophils infiltration (H&E ×400).
Serological Tests
Complement Fixation Test (CFT)
Two hundred and fifty-seven serum samples were tested for antibodies against Mmm with the CFT. Antibodies were detected in 108 (42.2%) of animals (Table 2).
Table 2. Results of CFT for serum samples collected from different dairy farms in Khartoum State.| Source of samples | No. of samples | Positive sample | % of +ve |
| East Nile | 104 | 35 | 33.60% |
| Northern Khartoum | 30 | 3 | 10% |
| Hilat Kuku | 13 | 13 | 100% |
| Elmahlab 2 | 11 | 11 | 100% |
| Kafori | 12 | 8 | 66.60% |
| Elmahlab 3 | 20 | 10 | 50% |
| Omdurman | 38 | 18 | 47.30% |
| Southern Khartoum | 17 | 5 | 29.40% |
| Different sample | 10 | 10 | 100% |
| Total | 257 | 108 | 42.20% |
Discussion
The persistence of CBPP in most sub-Saharan countries in Africa including the Sudan necessitates continuous screening of cattle herds to detect positive animals and subsequently eliminate them to get rid of sources of infection. In this study, the situation of CBPP in Khartoum state was studied. The investigation include abattoir monitoring and screening of random serum samples of cattle for antibodies against Mmm using the recommended complement fixation test. Abattoir monitoring is regarded as a cheap and highly effective method of surveillance for CBPP because it can detect the silent carriers (chronically and subclinically infected cattle) 14. Samples collected from different slaughter houses in Khartoum State revealed no isolation of Mmm. These results confirmed the previous study of Ameera M. 9 and other veterinary reports which as certain that no cases of CBPP were detected in slaughterhouses in Khartoum state. These results were expected due to the fact that no typical lesions (pleuropneumonia) of CBPP were found in all examined animals. In addition, only healthy animals that are fat and free from clinical signs can pass the antemortem examinations. It was observed that most slaughtered animals were local breeds which may be more resistant to infection as it was reported that there are variations in disease susceptibility in cattle 15, 16 added that cattle susceptibility to the disease depends on many factors such as the type of animal husbandry, individual resistance and other factors.
Three isolates of Mmm were recovered from three out of six crossbreed cattle that showed typical clinical signs and postmortem findings of CBPP. The source of these animals was dairy farms in Hilat Kuku, Khartoum north. Hilat Kuku is a large market and represents a center, for raising of dairy and beef cattle, in which productive animals are selected from the whole country. Accordingly, cattle from different regions and breeds are brought together giving a good chance for the transmission of CBPP from silent carriers to susceptible cross breeds (local with Holstein-Friesian) as seen in this study. The silent carrier animals are usually obtained by the use of antibiotics (mainly tylosin) to cure animals with respiratory symptoms or when routine vaccination has been practiced with long intervals between campaigns 15. Treatment of animals affected by CBPP leads to the disappearance of clinical signs but they develop sequestra in their lungs from which life mycoplasma may be secreted intermittently to infect susceptible animals. These isolation results confirmed previous reports of the Administration of Animal Health and Epizootic control, Ministry of Animal Resources 8 which stated that sporadic cases of CBPP were observed in certain areas of the state including Khartoum north. However, diagnosis of the disease in that reports was based only on clinical signs and postmortem findings and no isolation of the causative agent was previously achieved in the state.
Although no advanced techniques like PCR were used to identify the isolates, procedures used in this study were quite enough to confirm the incidence. Affected animals with CBPP were diagnosed based on the clinical signs, the PM findings, the typical histopathological picture in addition to the isolation of the causative agent and its subsequent identification using cultural and biochemical procedures. Identification of the isolates was confirmed by the growth inhibition test as recommended in OIE manual 10. The histopathological sections of diseased lungs, from which Mmm (SC) was isolated, showed typical histopathological picture of CBPP. The CBPP lesion comprises abronchiolar necrosis and oedema which progress rapidly to an exudative serofibrinous bronchiolitis with extension to the alveoli and uptake of alveolar fluid into tissue spaces 17, lymphatic vessels and ultimately septal lymphatics 18. With stasis, lymphatic vessels become thrombosed and ultimately fibrosed 19. The histological section of the lung in acute stage of the disease showed odema in the lymphatics of the interlobular septa and interstitial tissue and massive infiltration of fibrin, macrophage and neutrophils into the alveolar lumen 20. Also there was presence of lymphocytes and alveolar macrophages around the lymphatic vessels and septa margin 21. These findings supported the isolation results and gave additional evidence for the diagnosis of the disease.
In this study, 108 out of 257 randomly collected cattle serum samples were found positive for antibodies against Mmm using complement fixation test (CFT). CFT is there commended test by the OIE for determining disease free status of cattle herds 10. The test is reported to detect nearly all sick animals with acute lesions and few animals in the early stage of the disease or animals with chronic lesions. The percentage of positive animals in this study was clearly high (42.2%) and this may indicate that CBPP is spreading in Khartoum state and that may be due to uncontrolled animal movement, cessation of vaccination and decreased surveillances as stated by 3.
It was concluded from the present study that CBPP is present in Khartoum state and serological screening indicated that 42.2% of the investigated animals were positive. This situation necessitates a prompt action to control the disease in the state and prevents its spread.
Acknowledgements
The work was carried out at the Department of Mycoplasma, Central Veterinary Research Laboratory, Soba (Animal Resources Research Corporation ARRC). .
References
- 2.Tambi N E, W O Maina, Ndi C. (2006) An estimation of the economic impact of contagious bovine pleuropneumonia in Africa. , Revue Scientifique et Technique 25, 999-1012.
- 3. (1999) FAO Report of the first meeting of the FAO/ OIE/OAU-IBAR consultative group on CBPP. , Rome
- 4.Nocard E, Roux E. (1898) . Le microbe de la péripneumonie. Ann. Inst. Pasteur (Paris) 12, 240-262.
- 6.Manso-Silván L, Vilei E M, Sachse K, Djordjevic S P, Thiaucourt F et al. (2009) Mycoplasma leachii sp. nov. as a new species designation for Mycoplasma sp. bovine group 7 of Leach, and reclassification of Mycoplasma mycoides subsp. mycoides LC as a serovar of Mycoplasma mycoides subsp. , Capri. International Journal of Systematic and Evolutionary Microbiology 59, 1353-1358.
- 8.Mageed IEA. (2003) Contagious bovine pleuropneumonia situation in Sudan (Workshop on the control strategies of contagious bovine pleuropneumonia (CBPP) in Sudan). 22-36.
- 9.Ameera M M. (2002) Studies on Mycoplasma mycoides subsp. Mycoides vaccine strain T/SR and other strains.M.Sc.Thesis,University of Khartoum.
- 11.Wallace A, Clyde. (1983) Growth inhibition tests. In:Methods in Mycoplasmology. By Samuel Razin,Academic Press. 1, 405-410.
- 12.Lindley E P. (1960) Contagious bovine pleuropneu-monia the problems associated with its control.J. , Amer. Vet. Med. Asso.,151: 1810 – 1815.
- 13.Bancroft J, Stevens A. (1990) . Theory and Practice of Histological Techniques (3rd ed.) Churchill , Livingston. Edinburgh .
- 14.FAO.Preparation of Contagious Bovine Pleuropneumonia contingency plan. , (FAO Animal Health Manual) No.14.Rome
- 16.Shallali A A. (1997) Contagious bovine pleuropneumonia immunity in calves. , Ph.D.Thesis,University of Khartoum,Sudan
- 17.Nines Petisca JL, Sousaferreira H, Machado M, Regalla J, Ferronha M H. (1988) Localizacao de antigenios Mycoplasma mycoides subspecies mycoides naslesoes do pulmao de bovinescom peripneumonia. Respositorio de Trabalhos do Laboratorio Nacional de Investigacao Veterinari-aNumero Especial. 25 – 36 .
- 18.Done S H, Nicholas R, Palmer N. (1995) Contagious bovine pleuropneumonia (CBPP) an emerging disease in Europe. , Cattle Practice 3(1), 13-20.
- 19.Buttery S H, Cottew G S, Lloyd L C. (1980) Effect of soluble factors from Mycoplasma mycoides subsp. mycoides on the collagen content of bovine connection tissue. , Journal of Comparative Pathology 90, 303-314.
Cited by (2)
This article has been cited by 2 scholarly works according to:
Citing Articles:
Ahmed Mohamed Ahmed, Sumaya Hassan Ali, A. Ali, A. Osman, B. Mohamed et al. - Open Journal of Veterinary Medicine (2024) Semantic Scholar
Open Journal of Veterinary Medicine (2024) OpenAlex

