Investigation of Neoplastic Cells in the Bone Marrow of Female Dogs with Mammary Gland Tumors
Abstract
Background
The mammary glands are the second most common tumor development site in female dogs. One of the ways of staging such tumors is to evaluate the presence or absence of distant metastasis, including in bone marrow. Such findings in human medicine are associated with poor survival of women with breast tumors. However, in veterinary medicine, this clinical staging is used more for patients with lymphomas and mastocytomas. Studies using bone marrow biopsies as a staging method for mammary tumors are scarce.
Objectives
The present study was to evaluate mammary lesions and bone marrow in 23 female dogs, searching for disseminated tumor cells or metastatic foci. Results: Grade I carcinoma in mixed tumors was the type most observed (22.4%), and there was no statistical difference in relation to tumor size or presence of metastasis in lymph nodes. In the bone marrow of one female dog with carcinosarcoma (4.35%), there was cytoplasmic marking of a probable disseminated tumor cell of epithelial origin, and immunohistochemical evaluation showed presence of cytokeratin-19 antibodies. None of the female dogs presenting reduced cellularity or medullary fibrosis, confirmed through Masson’s trichrome technique, had cell marking in immunohistochemical analyses.
Conclusions
Bone marrow evaluation can be used as a staging method for mammary gland tumors in female dogs, since disseminated tumor cells present the potential to become secondary lesions and to disseminate to distant foci, thereby causing tertiary metastases over an indeterminate period of time.
Author Contributions
Academic Editor: Mohammed A Elmetwally, Associate Professor of Theriogenogy
Checked for plagiarism: Yes
Review by: Single-blind
Copyright © 2020 Talita B. Corsini, et al.
This is an open-access article distributed under the terms of the Creative Commons Attribution License, which permits unrestricted use, distribution, and reproduction in any medium, provided the original author and source are credited.
Competing interests
The authors have declared that no competing interests exist.
Citation:
Introduction
The mammary glands are the second most common tumor development site in dogs1. Metastases of mammary tumors occur most commonly through the lymphatic system, but may also occur through the bloodstream2. Pulmonary metastasis is one of the main causes of death among dogs with cancer1. Some carcinomas of the mammary gland may be detected through immunohistochemical analysis, using cytokeratin 5/6, 7, 8, 18 and 19 antibodies3.
Beginning in 1935, reports within human medicine on infiltration of solid tumors into bone marrow were published4,5,6. Within veterinary medicine, more recent studies have been developed and have proven that dogs may also present micrometastases from epithelial and mesenchymal tumors, in bone marrow7.
For breast tumor cells, bone marrow is one of the main metastatic sites. These cells capacity to metastasize to these sites confers protection on them, especially if they are quiescent, because in this way they are able to evade toxic anticancer agents, give that many chemotherapy agents only act on carcinogenic cells that are proliferating rapidly8. There have been reports that early removal of breast tumors may not prevent tertiary metastases, because the tumors cells may migrate into bone marrow during the initial phase of tumor development9.
The presence of micrometastases in bone marrow was mainly associated with tumors of diameter greater than 2 cm, of higher histological grade, and with presence of lymph node metastasis10. In the bone marrow of patients with breast tumors, in addition to foci of metastases, proliferation of elastic collagen fibers can be present11. According to Harvey12 one of the causes of myelofibrosis is the presence of neoplastic cells in bone marrow, due either to primary or metastatic neoplasia, through direct or indirect production of growth factors that have the capacity to stimulate fibroblasts. Among the hematological alterations that may occur in patients with infiltrative myelopathy due to non-hematological tumors are anemia, leukopenia or leukocytosis and thrombocytopenia13.
One of the methods for evaluating bone marrow consists of using myelograms, which preserve the cytological characteristics of hematopoietic cells14. However, bone marrow biopsies are more indicated when it is sought to ascertain any presence of neoplastic impairment15. If low cellularity is observed on myelograms, the possibility of data-gathering error needs to be ruled out and this finding needs to be differentiated as being due to a hypoplastic, aplastic or myelofibrotic process12. In these cases, biopsy is indicated15. Because dogs infected with Ehrlichiacanis can develop chronic disease that generally causes a certain degree of medullary hypoplasia, which in severe cases may progress to aplasia12, the parasitological diagnosis made through direct evaluation of myelogram smears and through molecular biology techniques needs to be considered in the cases of these animals.
In this light, it can be seen that bone marrow evaluations among female dogs with mammary gland tumors can be used as a staging technique for the disease, given that female dogs are natural models for evaluating breast tumors in women16. For this reason, the aim of the present study was to evaluate the bone marrow of female dogs with mammary gland tumors through biopsies and immunohistochemical methods, searching for the presence of epithelial cells marked with the antibody pancytokeratin 19. Our hypothesis was that this analysis might show this prognostic factor to be significant not only for women but also for female dogs.
Material and Methods
Animals Used
Twenty-one female dogs were assessed in this study, without preference for breed or age. They came from the “Governador Laudo Natel” Veterinary Hospital, School of Agrarian and Veterinary Sciences (FCAV), São Paulo State University (UNESP), Jaboticabal Campus, State of São Paulo, Brazil. The inclusion criteria were that bone marrow analysis needed to be performed, along with evaluation of the mammary tissue of female dogs with mammary gland tumors. Animals that had undergone previous chemotherapy were excluded from this study.
Collection of Material
This study was conducted using material from bone marrow biopsies, surgical mammary gland-tissue specimens and lymph nodes. For this, the animals selected were subjected to pre-anesthesia examinations (hemogram and renal and hepatic function tests, through assaying the enzyme alanine aminotransferase and serum creatinine), thoracic radiographic examinations of the chest in three projections and abdominal ultrasonography, with the aim of identifying any foci of metastases.
The female dogs were anesthetized and their skin was shaved both in the region of the proximal epiphysis of the right humerus and on the ventral abdomen. Following this, antisepsis was performed using chlorhexidine and alcohol on these areas. Biopsy was then performed on the humerus using Jamshid™ needles17of size 8G, 11G or 13G, depending on the size of the animal. In this step, a fragment of bone marrow tissue was collected and aspirated, to perform a myelogram. Total unilateral mastectomy was then performed, with removal of the inguinal and axillary lymph nodes.
In the cases of female dogs with mammary gland tumors, the tumor fragments, bone marrow and lymph nodes were placed in 10% formalin solution, with phosphate buffering (pH 7.4). These samples were sent to the veterinary pathology service of the same institution, for histopathological analysis.
Polymerase Chain Reaction (PCR)
With the aim of ruling out the possibility of presence of bone marrow alterations coming from infection by Ehrlichiacanis, given that the animas evaluated here were from a region that is endemic for this parasite, bone marrow samples that presented altered cellularity were subjected to convention PCR assays with the aim of amplifying the DNA of the agent Ehrlichiacanis. These analyses were performed by the laboratory Imunodot®, which is located in the municipality of Jaboticabal, SP.
Myelogram
The bone marrow aspirates from the female dogs with mammary gland tumors were expelled into Petri dishes in order to view the bone spicules. These were transferred by means of capillary tubes, to glass slides on which smears were prepared. These smears wee then stained with the Romanowsky stain (Panótico Rápido LB®) and were analyzed under a Nikon E200 optical microscope, using large-magnification objective lenses (40x and 100x).
Histopathological Analysis
In this analysis, the bone marrow fragments, lymph nodes and surgical samples from the female dogs with tumors were evaluated under an optical microscope. The mammary neoplasia was classified as specified by the World Health Organization18 and in accordance with the guidelines of the second consensus for the diagnosis, prognosis and treatment of canine mammary tumors19.
The mammary gland, lymph node and bone marrow samples were fixed in 10% formalin solution, with phosphate buffering (pH 7.4), for 48 hours. The material was then sliced and subjected to routine histological processing for embedment in paraffin. Sections of thickness 5 µm were cut and then stained using hematoxylin and eosin. There was no need to perform a decalcification process on the bone marrow fragments.
The analysis on the bone marrow biopsy material had the main objectives of ascertaining any presence of tumor cells on the slides stained with hematoxylin and eosin and also whether there might be any presence of myelofibrosis. For the latter, Masson’s trichrome technique was used. The percentage of fibrous tissue in the bone marrow was assessed using an image analysis system (Image Pro-plus 4.5). For this, the entire bone marrow fragment was photographed in a high-magnification field (40x) under a Nikon E200 optical microscope.
Immunohistochemical Analysis
This technique was used to evaluate the marking of epithelial neoplastic cells in the bone marrow, using the antibody cytokeratin-19 (clone AE1/AE3, DakoCytomation, code M3515). The slides were generally deparaffinized in a heated chamber at 60 ºC for one hour and were then placed in a water bath, with xylol, for 20 minutes. They were next hydrated using solutions of decreasing concentrations of alcohol, until final washing in distilled water. To determine the immunomarking of this antibody, hot antigen recovery was performed in a Pascal pressure chamber (Dako), using a sodium citrate buffer solution (pH 6.0). To block endogenous peroxidase, a 10% solution of hydrogen peroxide and methanol was used (i.e. 90 mL of methyl alcohol and 10 mL of hydrogen peroxide, 30 volumes) for 30 minutes, at room temperature while protected from light. Following this, blocking of nonspecific proteins was performed using a commercial product (Protein Block, Dako, code X0909), for 30 minutes, in a dark damp chamber at room temperature. The slides were then incubated with the primary antibody at a dilution of 1:200 for 18 hours at 4 ºC in a dark damp chamber.
The reaction substrate used was the peroxidase-linked polymer complex (Advance Kit, Dako, code K4068). Between each of the steps described, baths in distilled water and in Tris HCl buffer solution (pH 7.4) were performed for 5 minutes each. To view the reaction, the chromogen DAB was used (3,3-diaminobenzidine; Dako, code K3468-1), for 3 minutes per slide. Following this, counterstaining with Harris’s hematoxylin was performed and the slides were mounted using Entellan (Merck).
The positive control for the immunohistochemical technique was dog intestinal tissue. Bone marrow samples from animals that were free from mammary neoplasia were used as negative controls. The number of immunomarked cells was determined through observing the entire bone marrow fragment using a 40x objective lens (area de 0.19625 mm2), under a Nikon E200 optical microscope.
Statistical Analysis
To assess the presence or absence of tumor cells in the bone marrow, the total number of positive cases was divided by the total number of patients. To correlate the frequency of occurrence of metastases, the proportions test and chi-square test were applied. These analyses were conducted in the GraphPad Prism software (version 5.0, 2007) and differences were considered significant when p < 0.05.
Results
In the present study, the mean age of the female dogs evaluated was 10.6 ± 2.8 years. Female dogs of different breeds were evaluated, including no defined breed SRD (65.2%), poodle (13.1%), dachshund (13.1%), Lhasa Apso (4.3%) and beagle (4.3%), and their mean body weight was 9.98 ± 4.68 kg. The inguinal mammary gland was the one most affected (25.5%), followed by the caudal abdominal (21.8%), cranial abdominal (21.8%), caudal thoracic (16.4%) and, lastly, cranial thoracic (14.5%). The vast majority of the female dogs (95.7%) presented lesions in only one mammary chain.
Regarding the histological classification of the tumors, 77.6% presented malignant behavior, and carcinoma in a grade I mixed tumor was the type most observed (22.4%). Regarding tumor size, 72.4% were smaller than 3 cm, 15.5% were between 3 and 5 cm and 12.1% were larger than 5 cm.
The relationship between tumor size and presence or absence of metastasis in lymph nodes (Table 1) did not present any significant difference (p = 0.8118), i.e. there was no relationship of dependence between these parameters.
Table 1. Relationship between tumor size and presence/absence of lymph node metastasis| Lymph node metastasis | Tumor size (cm) | Total | ||
| < 3 | 3 – 5 | > 5 | ||
| Yes | 1 | 2 | 1 | 4 |
| No | 8 | 7 | 4 | 19 |
| Total | 9 | 9 | 5 | 23 |
Among the 22 female dogs that presented mammary tumors (Table 2), considering that in one case mastitis was presented and that this is a non-neoplastic mammary lesion, there were 8 cases with more than two histological mammary tumor types (36.4%), 7 cases with two types (31.8%) and 7 cases with one type (31.8%). In most of these female dogs, only one mammary gland was affected. (Table 3)
Table 2. Data of animals with mammary tumors and results of their respective examinations performed| Animal | Age (years) | Breed | Histological tumor type (mammary gland) | Lymph node metastasis | Bone marrow cellularity(HE) | Bone marrow fibrosis (MT) | Bone marrow (IH) | Ehrlichiacanis detected through PCR on bone marrow | Hemogram |
| 1* | 8 | NDB | Chronic mastitis (Acr, Aca, Tcr, Tca, I) | absent | normocellular | absent | negative | not done | normal |
| 2 | 11 | Poodle | Noninvasive lobular carcinoma in situ (Aca) | absent | severe hypocellularity | absent | negative | positive | anemia leukopenia |
| Carcinoma in grade II mixed tumor (I) | |||||||||
| 3 | 8 | NDB | Benign mixed tumor (I) | absent | normocellular | absent | negative | not done | normal |
| 4 | 10 | NDB | Carcinoma in grade I mixed tumor (Acr)Malignant adenomyoepithelioma (Aca)Benign mixed tumor (I) | present (inguinal) | moderate hypocellularity with proliferation of fibrous-collagenous tissue | moderate | negative | negative | anemialeukopenia |
| 5 | 13 | NDB | Benign mixed tumor (Acr)Carcinosarcoma (Aca)Tubular adenoma (I) | absent | moderate hypocellularity | absent | negative | negative | normal |
| 6 | 16 | Poodle | Carcinoma in grade I mixed tumor (Tca, Acr, Aca, I left) | absent | normocellular | absent | negative | not done | normal |
| Carcinosarcoma (Aca right) | |||||||||
| 7 | 7 | NDB | Carcinoma in grade I mixed tumor (Tcr) | absent | moderate hypocellularity | slight | negative | positive | anemialeukopenia |
| Invasive lobular carcinoma in situ (Acr) | |||||||||
| Carcinoma in grade II mixed tumor (I) | |||||||||
| 8 | 10 | Dachshund | Noninvasive ductal carcinoma in situ (Tcr) | absent | normocellular | absent | negative | not done | anemia leukopenia |
| Grade I tubular carcinoma (Tca) | |||||||||
| Carcinoma in grade I mixed tumor (Acr) | |||||||||
| Benign mixed tumor (I) | |||||||||
| 9 | 9 | Dachshund | Noninvasive lobular carcinoma in situ (Tca)Carcinosarcoma (I) | absent | slight hypocellularity | absent | positive | negative | anemialeukopenia thrombocytopenia |
| 10 | 8 | Lhasa Apso | Grade II tubular carcinoma (Acr) | absent | moderate hypocellularity | absent | negative | positive | anemialeukopenia |
| 11 | 12 | SRD | Noninvasive lobular carcinoma in situ (Tca) | absent | slight hypocellularity | absent | negative | negative | normal |
| Malignant adenomyoepithelioma (Aca, I) | |||||||||
| 12 | 14 | SRD | Malignant adenomyoepithelioma (Acr) | absent | slight hypocellularity | absent | negative | negative | normal |
| Animal | Age (years) | Breed | Histological tumor type ( mammary gland ) | Lymph node metastasis | Bone marrow cellularity(HE) | Bone marrow fibrosis(TM) | Bone marrow IH | Ehrlichiacanis detected through PCR on bone marrow | Hemogram |
| 13 | 10 | Poodle | Noninvasive lobular carcinoma in situ (Tca)Mammary squamous cell carcinoma (Aca)Grade III solid carcinoma (I) | present (inguinal) | normocellular | absent | negative | not done | normal |
| 14 | 13 | NDB | Noninvasive ductal carcinoma in situ (Tcr)Carcinoma in grade II mixed tumor (Tca)Mammary squamous cell carcinoma (Aca) | present (inguinal) | moderate hypocellularity | absent | negative | negative | normal |
| 15 | 10 | NDB | High-grade ductal carcinoma in situ and benign adenomyoepithelioma (Acr) | absent | normocellular | absent | negative | not done | normal |
| Benign mixed tumor (Tca) | |||||||||
| 16 | 8 | NDB | Carcinoma in grade I mixed tumor (Tcr) | absent | normocellular | absent | negative | not done | normal |
| 17 | 10 | NDB | Carcinoma in grade I mixed tumor (Aca) | absent | normocellular | absent | negative | not done | normal |
| 18 | 13 | Dachshund | Invasive papillary carcinoma (Tcr) | absent | normocellular | absent | negative | not done | anemia leukocytosis |
| Carcinoma in grade I mixed tumor and Cribriform carcinoma (Tca) | |||||||||
| Carcinoma in grade I mixed tumor (Acr) | |||||||||
| Mammary squamous cell carcinoma (Aca) | |||||||||
| 19 | 10 | NDB | Benign mixed tumor (Acr)Mammary osteosarcoma (I) | absent | normocellular with presence of hemosiderosis | absent | negative | not done | anemia leukocytosis |
| 20 | 9 | NDB | Noninvasive papillary carcinoma (I) | absent | normocellular with presence of hemosiderosis | absent | negative | not done | normal |
| 21 | 8 | NDB | Noninvasive papillary carcinoma (Tcr) | absent | moderate hypocellularity | slight | negative | negative | normal |
| Carcinoma in grade I mixed tumor (I) | |||||||||
| 22 | 8 | NDB | Malignant adenomyoepithelioma (Tcr and Acr) | present (inguinal and axillary) | slight hypocellularity | absent | negative | not done | anemia |
| 23 | 8 | Beagle | Malignant adenomyoepithelioma (Acr)Invasive micropapillary carcinoma (I) | absent | slight hypocellularity | slight | negative | negative | leukopenia |
The biochemical examinations on the female dogs of the present study did not show any noteworthy alterations. On the other hand, the hemograms showed some alterations, including the following: one case of anemia; two cases of anemia and leukocytosis; five cases of leukopenia and anemia; and one case of anemia, leukopenia and thrombocytopenia. Most of these female dogs with alterations on hemograms also presented altered cellularity in bone marrow.
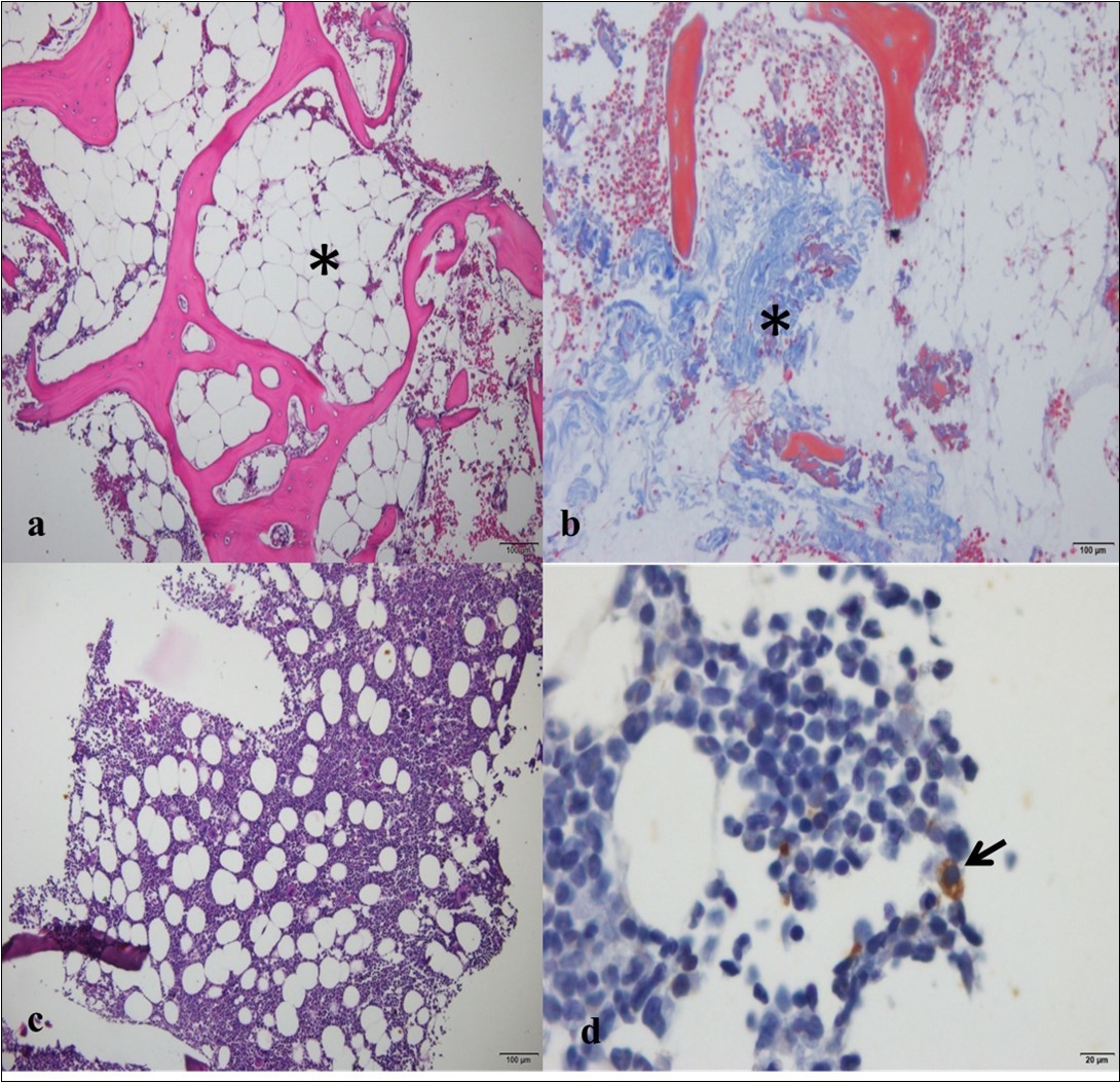
On myelograms, no cells with atypical morphology suggestive of neoplastic cells were observed. In the histopathological evaluation using hematoxylin and eosin staining, 11 female dogs presented normal quantities of cells and normal cell morphology. However, in the cases of the other 12 female dogs, although the cell morphology was normal, one of them showed hypercellularity and 11 of them showed diminished quantities of cells in their bone marrow. This diminution was slight in four cases, moderate in six cases and severe in one case. In the PCR examinations on these 11 female dogs, only three (27.3%) were positive in investigations on the presence of the parasite Ehrlichiacanis. These were animals with moderate and severe diminution of cellularity and predominance of adipose tissue in the medullary tissue (Figure 1). The hemograms of these three female dogs showed anemia and leukopenia. The histological bone marrow sections stained with Masson’s trichrome showed the presence of fibrosis in four female dogs (17.39%), among which three cases were slight and one was moderate (Figure 1).
Figure 1.Photomicrographs of the bone marrow of a female dog with a mammary tumor. a) Note severe hypocellularity and predominance of adipose tissue (*), in a female dog positive for Ehrlichia canis (bar = 100 µm; hematoxylin and eosin). b) Note the proliferation of fibrous tissue (*) in the bone marrow (bar = 100 µm; Masson’s trichrome). c) Note the normocellular bone marrow in the analysis on the biopsy (bar = 100 µm; hematoxylin and eosin). d) Same animal as in C, showing an epithelial cell positive for cytokeratin-19 (arrow; bar = 20 µm; peroxidase-linked polymer complex).
In the immunohistochemical evaluation, only one female dog (4.35%) presented epithelial cells with cytoplasmic marking for the antibody cytokeratin-19 (Figure 1), and this could be considered to denote presence of tumor cells disseminated in the bone marrow. This bone marrow presented slight hypocellularity in the analysis on the biopsy (Figure 1), but the hemogram showed the presence of moderate anemia, leukopenia and thrombocytopenia.
Discussion
In the present study, 56.5% of the female dogs evaluated were 10 years of age or over. The data of the present study is similar with Pastor20 and differed from what was seen by Kim et al.21, who evaluated greater percentages of female dogs that were less than 10 years of age. These data differ too from what was observed by Petrov et al1, who reported that the mammary tumors among female dogs occurred predominantly at the ages of 12 to 13 years. Furthermore, occurrence of tumors was unrelated to breed, given that the majority of the female dogs (65.2%) were of undefined breed. This was concordant with the observations of Gundim et al.22, who also stated that there was no breed preference for development of breast tumors.
Regarding the mammary gland that were more affected, it was observed that the inguinal mammary gland was the one most affected (25.5%), while the cranial thoracic mammary gland presented fewest neoplastic lesions (14.5%). These data are concordant with the findings from other studies,19,23. It is likely that these results are related to the fact that there are greater quantities of hormonal receptors for estrogen and progesterone in the caudal and inguinal mammary gland than in the others24. On the other hand, studies conducted more recently have correlated the greater occurrence of tumors in these mammary glands with the greater quantities of mammary parenchyma that probably occur in this region25.
The majority of the tumors evaluated in the present study were malignant (77.6%). This confirms the observations in the others studies20,26, who found that malignant neoplasia was more prevalent than benign neoplasia. Unlike what was observed by Karayannopoulou et al.27, most of the female dogs of the present study presented tumors in only one mammary chain at the time of the diagnosis. Most of the female dogs in our study (65.3%) presented more than one histological tumor type, thus differing from literature28. Moreover, the female dogs affected by tumors in the present study were clinically healthy at the time when the neoplasia was first observed, as also reported by other study19.
In a retrospective study on 1,647 mammary tumors in dogs29, was observed that simple carcinoma was the histological type most often observed, as also noted others researchers1,20. However, in the present study, the predominant histological type was carcinoma in grade I mixed tumors. This contradicts the studies cited above, but it corroborates the findings of Cassali16, who stated that mixed tumors were the mammary tumor type most frequently found in female dogs. One of the possible causes for high prevalence of malignant mammary tumors is a prolonged time elapsed between appearance of the tumor and the clinical assessment27, given that there is evidence that these prolonged times enable progression of benign tumors to malignancy30.
The majority of the tumors analyzed in the present study were malignant, but of low grade. Moreover, there was no significant difference in the statistical analysis in comparisons between tumor size and the presence of metastases in lymph nodes. These results probably came from the fact that the owners took their dogs to the veterinarian early on, for surgical removal of the tumors, considering that most of these tumors (72.4%) were smaller than 3 cm. This could also be seen from the results of other study31, who reported that 86% of the dogs that presented metastases in lymph nodes had large tumors and that tumors larger than 5 cm presented higher grades of malignancy31.
In the evaluations on bone marrow, the cases of severe hypocellularity, moderate hypocellularity in association with severe hemosiderosis and presence of slight fibrosis that were observed in three female dogs of our study were probably due to the fact that the parasite Ehrlichiacanis was present in the bone marrow, which would explain the anemia and leukopenia that were found in the hemograms. The explanation for this finding is that dogs infected with Ehrlichiacanis, especially in endemic regions like that of the present study, can develop chronic disease that generally causes a certain degree of medullary hypoplasia. In severe cases, this can progress to aplasia12. In these animals, no tumor cells were found in the bone marrow and, for this reason, they were kept in the study. The other female dogs that presented hypocellularity, including two that had presence of medullary fibrosis, as confirmed through Masson’s trichrome staining, did not present positivity either in the conventional PCR examination or in the immunohistochemical evaluation. However, this does not rule out the possibility that these animals might have presented the parasite or a micrometastasis in this organ.
Differently from what was found by literature11, the female dog in which presence of epithelial cells in the bone marrow was confirmed in our study through presence of marking with the antibody cytokeratin-19 in immunohistochemical evaluations did not present medullary fibrosis. However, our result corroborates the findings of other study10, who demonstrated that there was an association between presence of micrometastases in bone marrow and presence of tumors larger than 2 cm, of higher histological grade. In the present study, this female dog presented a carcinosarcoma larger than 5 cm in the inguinal mammary gland. Furthermore, the hemogram of this animal was similar to what was observed previously13, i.e. with presence of moderate anemia and leukopenia.
Among the factors that limited the sample size of the present study were the following: small samples consequent to the sizes of the animals evaluated; difficulties in sample collection because the needles used were designed for use among humans; and the fact that some of the dog owners did not authorize collection of bone marrow biopsy samples. These factors, together with the fact that small-sized animals may present claudication and pain after sample collection, led to a situation in which all sample collection was performed from a single location. On the other hand, one study that performed bone marrow collection from women at eight different collection sites32. In the present study, the lack of observation of neoplastic cells in the histopathological examinations on bone marrow was possibly due to presence of tumor cells at other sites that were not accessed. If specific instruments for use in animals of different sizes had been available, the risk of post-collection sequelae would have been lower. This would have made it possible to obtain bone marrow samples of better quality from different collection sites.
Use of the bone marrow aspiration technique followed by investigation of the marking of tumor cells using the immunocytochemical technique has been described in other studies13,33,34. The bone marrow biopsy was used together with immunohistochemical evaluation of tumor cell marking only one sample was positive for this marking. Thus, we can suggest that the immunocytochemical technique would increase the likelihood of confirmation of the presence of disseminated tumor cells (DTCs) and foci of medullary metastasis, compared with the immunohistochemical technique. Moreover, collection from several distinct bone marrow sites would increase the chances of finding micrometastases in this organ. Nonetheless, in veterinary medicine, inability to collect material from several sites is very often a limiting factor because of the great variation in animal sizes.
According to literature35, both DTCs and circulating tumor cells (CTCs) are difficult to characterize, because they are only found in one out of every 106 bone marrow cells and only in one or two cells per 20 mL of blood, respectively. This low likelihood of detection of these cells was confirmed in the present study, since only one cell positive for cytokeratin-19 was identified in the bone marrow of a single female dog with malignant mammary neoplasia. This cell was considered to be a DTC and not a focus of micrometastasis. These tumor cells that become physically separated from the primary tumor and spread out are not considered to represent situations of micrometastasis because they have not yet expanded to form small populations of cells in a metastatic niche8.
Another factor that highlights the small quantity of positive results regarding the presence of micrometastases in the bone marrow of the female dogs evaluated in the present study is the fact that in veterinary medicine, studies in which this detection was done are rare. This has led to lack of standardization of diagnostic methods and in choosing panels of markers and antibodies36. On the other hand, in human medicine, epithelial cells are detected through bone marrow aspiration in relation to almost all types of carcinomas, with mean prevalence of 30 to 35%, due to better standardization of the technique37.
In the present study, it was demonstrated that bone marrow biopsies on female dogs with mammary tumors could be used as one of the methods for staging mammary tumors. However, further studies need to be conducted, with evaluations on additional collection sites in the same animal, done in association with immunohistochemical and immunocytochemical techniques. Furthermore, both DTCs and CTCs have phenotypic characteristics that differ from the primary tumor38. Tumoral stem cells have been detected in mammary tumors of histologically more aggressive grade, with the phenotype CD44+/CD24-, through immunohistochemical analysis39. For this reason, it can be suggested that further studies should assess these characteristics in bone marrow, in order to detect micrometastases and determine prognostic factors for oncological patients.
Lastly, selection of patients with breast tumors who are positive for estrogen receptors (ER+) may increase the likelihood of detecting micrometastases in the bone marrow of female dogs, given that more than 50% of recurrences of these tumors in women occur within 5 years after the primary tumor has been diagnosed and surgically removed. This suggests that carcinogenic ER+ cells may remain dormant for long periods of time, independent of the adjuvant therapies used40.
Conclusion
In the light of the foregoing, it can be concluded that bone marrow evaluation can be performed as one of the staging methods for canine mammary tumors, given that DTCs may be found. This indicates that bone marrow may be one of the primary sites for metastasis. It has been demonstrated here that standardization and application of this technique may be important not only for women but also for female dogs presenting tumors with metastatic potential.
Compliance with Ethical Standards
Ethical Approval
All the international, national and/or institutional guidelines applicable to care for and use of animals were followed. The present study was evaluated and approved by the Ethics Committee for Use of Animals (CEUA) of São Paulo State University (UNESP), Jaboticabal Campus, under protocol no. 008381/17.
Acknowledgements
The authors of this study would like to express their thanks to the veterinary oncology service and the obstetrics and animal reproduction service for kindly making the samples for this study available to us. We are also grateful to Antonio Roveri Neto for technical histological assistance in processing the samples.
References
- 1.Petrov E A, Ilievska K, Trojacanec P, Celeska I, Nikolovski G et al. (2014) . Canine Mammary Tumours – Clinical Survey. Mac Vet Rev 37(2), 129-134.
- 2.Nunes F C, Campos C B, Bertagnolli A C. (2020) Epidemiological aspects of canine mammary neoplasms. In: Cassali, GD. Canine mammary pathology: from diagnosis to treatment. São Paulo: MedVet;.
- 3.Moll R, Krepler R, Franke W W. (1983) Complex cytokeratin polypeptide patterns observed in certain human carcinomas. , Differentiation 23(3), 256-269.
- 4.Reich C. (1935) A study of the diagnostic value of sternal puncture in clinical hematology. , Am J Med 189, 515-520.
- 5.Ellis L D, Jensen W N, Westerman M P. (1964) Needle biopsy of bone marrow. An experiencie with 1.445 biopsies. , JAMA Internal Medicine 114(2), 213-221.
- 6.Singh G, Krause J R, Breitfield V. (1976) Bone marrow examination for metastatic tumor: aspirate and biopsy. , Cancer 40, 2317-2321.
- 7.Weishaar K M, Edmondson E F, Thamm D H, Olver C S. (2014) Malignant mesenchymoma with widespread metastasis including bone marrow involvement in a dog. Vet Clin Pathol. 43(3), 447-45.
- 8.Aguirre-Ghiso J A. (2007) Models, mechanisms and clinical evidence for cancer dormancy. , Nat Rev Cancer 7, 834-846.
- 9.Klein C A. (2008) The direct molecular analysis of metastatic precursor cells in breast cancer: a chance for a better understanding of metastasis and for personalised medicine. , Eur. J. Cancer 44, 2721-2725.
- 10.Braun S, Vogl F D, Naume B. (2005) A pooled analysis of bone marrow micrometastasis in breast cancer. , N Engl J Med 335(8), 793-802.
- 13.Yun H H, Shin M G, Bo D. (2007) . , Laboratory Evaluation of Bone Marrow Metastasis. Korean J Lab Med 27(2), 96-101.
- 14.Cowell R L, Valenciano A. (2019) . Cowell and Tyler's diagnostic cytology and hematology of the dog and cat. 5th ed.StLouis:Elsevier .
- 17.Raskin R E, Messick J B. (2012) Bone marrow cytologic and histologic biopsies: indications, technique, and evaluation. , Vet Clin Small Anim 42, 23-42.
- 18.Misdorp W, Else R W, Hellmén E, Lipscomb E. (1999) Definitions and explanatory notes. WHO Histological classification of mammary tumors of the dog and cat. Washington: Armed Forces Institute of Pathology. 18-27.
- 19.Cassali G D, Lavalle G E, Ferreira E. (2014) Consensus for the Diagnosis, Prognosis and Treatment of Canine Mammary Tumors -. , Brazilian Journal of Veterinary Pathology 7(2), 38-69.
- 20.Pastor N, Caballé N C, Santella M, Ezquerra L J, Tarazona R et al. (2018) Epidemiological study of canine mammary tumors: age, breed, size and malignancy. , Austral J Vet Sci 50, 143-147.
- 21.Kim H W, Lim H Y, Shin J I, Seung B J, Ju J H et al. (2016) Breed and age-related differences in canine mammary tumors. , Can J Vet Res 80, 146-155.
- 22.Gundim L, Araujo C P, Blanca W T, Guimaraes E C, Medeiros A A. (2016) Clinical staging in bitches with mammary tumors: Influence of type and histological grade. , Can J Vet Res 80, 318-322.
- 23.Hashimoto S, Yamamura H, Sato T, Kanayama K, Sakai T. (2002) Prevalence of mammary gland tumor of small breed dog in the Tokyo metropolitan area. , J. Vet. Epidemiol 6(2), 85-91.
- 24.Donnay I, Rauis J, Devleeshiuwer N, Wouters-Ballman P, Leclercq G et al. (1995) Comparison of estrogen and progesterone receptor expression in normal and tumor mammary tissues from dogs. , Am J Vet Res 56(9), 1188-1194.
- 25.Queiroga F, Lopes C. (2002) mamários caninos, pesquisa de novos fatores prognósticos [Canine breast tumors, research for new prognostic factors]. Rev Port Cienc Vet. 97, 119-127.
- 26.Santos A A, Lopes C C, Ribeiro J R, Martins L R, Santos J C et al. (2013) Identification of prognostic factors in canine mammary malignant tumours: a multivariable survival study. , BCM Veterinary Research 9(1), 1-11.
- 27.Karayannopoulou M, Kaldrimidou E, Dessiris A. (1990) Some epidemiological aspects of canine mammary tumours treatment and prognosis. , Europ Journ of Comp Anim Pract 1, 41-47.
- 28.Benjamin S A, Lee A C, Saunders W J. (1999) . Classification and Behavior of Canine Mammary Epithelial Neoplasms Based on Life-span Observations in Beagles. Vet Pathol 36, 423-436.
- 29.JCO Filho, Kommers G D, Matsuda E K, BMPP Marques, Fighera R A et al. (2010) Estudo retrospectivo de 1.647 tumores mamários em cães. [Retrospective study of 1.647 breast tumors in dogs]. Pesq Vet Bras. 30(2), 177-185.
- 30.Sorenmo K U, Kristiansen V M, Cofone M A. (2009) Canine mammary gland tumors; a histological continuum from benign to malignant; clinical and histopathological evidence. , Vet Comp Oncol 7(3), 162-172.
- 31.Chang S, Chang C, Chang T, Wong M. (2005) Prognostic factors associated with survival two years after surgery in dogs with malignant mammary tumors: 79 cases (1998-2002). , J Am Vet Med Assoc 227(10), 1625-1629.
- 32.Mansi J, Morden J, Bliss J M, Neville M, Coombes R C. (2016) Bone marrow micrometastases in early breast cancer-30-year outcome. , Br J Cancer 114, 243-247.
- 33.Hartkopf A D, Taran F A, Walter C B, Hahn M, Fehm T et al. (2015) Detection and prevalence of disseminated tumor cells from the boné marrow of early stage male breast cancer patients. , Breast Cancer Res Treat 152, 51-55.
- 34.Schindlbeck C, Andergassen U, Jueckstock J, Rack B, Janni W et al. (2016) Disseminated and circulating tumor cells in bone marrow and blood of breast cancer patients: properties, enrichment, and potential targets. , J Cancer Res Clin Oncol 142, 1883-1895.
- 35.Lacroix M. (2006) Significance, detection and markers of disseminated breast cancer cells. , Endocr Relat Cancer 13(4), 1033-1067.
- 36.Janni W, Rack B, Schindlbeck C. (2005) The persistence of isolated tumor cells in the bone marrow from patients with breast carcinoma predicts an increased risk for recurrence. , Cancer 103(5), 884-891.
- 37.Funke I, Schraut W. (1998) Meta-analyses of studies on bone marrow micrometastases: an independent prognostic impact remains to be substantiated. , J Clin Onc 16(2), 557-566.
- 38.Delta B G, Pinkel D. (1964) Bone marrow aspiration in children with malignant tumors. , The Journal of Pediatrics 64(4), 542-546.
