Mycosis Fungoides Presenting as a Pigmented Purpuric Dermatosis in a Renal Transplanted Patient
Abstract
Cutaneous lymphoma after organ transplantation is rare and its diagnosis may be delayed by both atypical clinical manifestations and failure to consider it in the differential diagnosis. Beside skin-directed therapy for the stage, immunosuppression reduction is also important for disease control.
We describe a clinical case of mycosis fungoides after renal transplantation and discuss the therapeutic options.
Author Contributions
Academic Editor: Mediha Boran, Associate professor,Specialist,Medical doctor
Checked for plagiarism: Yes
Review by: Single-blind
Copyright © 2017 João Borges-Costa J, et al.
This is an open-access article distributed under the terms of the Creative Commons Attribution License, which permits unrestricted use, distribution, and reproduction in any medium, provided the original author and source are credited.
Competing interests
The authors have declared that no competing interests exist.
Citation:
Introduction:
Mycosis fungoides in organ transplantated recipients is rare, since most post-transplant lymphoproliferative disorders are of B cell origin and associated with Epstein-Barr viral infections1,2. Immunosupression is the other important trigger for the onset of these lymphomas, especially in patients that are over-immunosuppressed3.
A 50 years-old Caucasian man was referred to our outpatient clinic with a two months history of mildly pruritic red-brown patches on his lower limbs (Figure 1). He had had a kidney transplant seven years before, with unknown cause of renal failure and was medicated with tacrolimus 2 mg bid, prednisolone 5 mg and mychophenolate mofetil 500 mg bid.
Figure 1.Red-brown patches on the lower limbs.
Two skin biopsies were performed, with the diagnosis of pigmented purpuric dermatosis.The patient was then treated with topical mid potency corticosteroid with resolution of pruritus and partial regression of the lesions.
Two years later, patches appeared on his upper limbs (Figure 2) and plaques on his lower limbs and the patient reported worsening of the pruritus.
Figure 2.Red-brown patches and papules on the upper limbs.
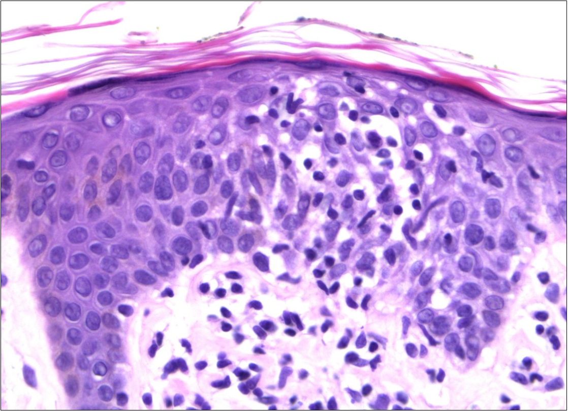
A skin biopsy revealed a dense pleomorphic lymphoid infiltrate in the superficial dermis (Figure 3) and epidermotropism. Immunohistochemistry showed a T-cell phenotype, positive for CD3, CD4, CD5 and negative for CD20.
Figure 3.The skin biopsy revealed a dense pleomorphic lymphoid infiltrate in the superficial dermis and epidermotropism (HEx40)
Mycosis fungoides, stage IB, was then diagnosed since blood counts, serum chemistries and CT scan of abdomen and chest were all normal
The patient started high potency topical corticosteroids and, after consultation with the nephrologist, the dose of tacrolimus was halved. After 6 months follow-up, regression of the plaques and pruritus remission was obtained, without renal function deterioration and at three years follow up a good control of the disease was obtained, only with topical corticosteroids as needed.
Mycosis fungoides is the most frequent form of cutaneous T-cell lymphoma in organ transplanted recipients2 with an average onset of six years after the transplant3. Immunosuppression is until now the most important risk factor, since no viral agent was identified as causative agent in these patients4. The diagnosis of this lymphoma requires a close follow up of the patients, since is frequent to have negative skin biopsies for years before having one that allows the diagnosis5. In our patient, the atypical presentation mimicking pigmented purpuric dermatosis also delayed the diagnosis.
Immunosuppression reduction should therefore be the first option in the primary cutaneous T-cell lymphoma3,6, as we did in our patient. Changing calcineurin inhibitors to mTOR inhibitors, as everolimus and sirolimus, could also be an option in these patients, as reported in an European study2, but clinical guidelines are lacking.
Skin directed therapies must be added2,6, since immunosuppression reduction alone is not able to clear all lesions, and it should be one of those recommended for the disease stage, as the topical corticosteroid we prescribed to our patient. Phototherapy, one of most used therapies in mycosis fungoides, should nevertheless be avoided in organ transplant recipients, since it will add to the already increased risk of non melanoma skin cancer in these patients.
References
- 1.Stojanova J, Caillard S, Rosseau A, Marquet P. (2011) Post-transplant lymphoproliferative disease (PTLD): Pharmacological, virological and other determinants. , Pharmacol. Res 63, 1-7.
- 2.Seçkin D, Barete S, Euvrard S, Francès C, Kanitakis J. (2013) Primary cutaneous posttransplant lymphoproliferative disorders in solid organ transplant recipients: a multicenter European case series. , Am. J. Transpl 13, 2146-2153.
- 3.Ward H A, Russo G G, McBurney E, Milikan L E, Boh E E. (2001) Posttransplant primary cutaneous T-cell lymphoma. , J. Am. Acad Dermatol 44, 675-680.
- 4.Ravat F E, Spittle M F, Russell-Jones R. (2006) Primary cutaneous T-cell lymphoma occurring after organ transplantation. , J. Am. Acad. Dermatol 54, 668-675.
