Brain Hemodynamics and Cerebrovascular Reactivity in Patients with Tension-Type Headache
Abstract
Introduction:
Tension-type headache (TTH) is very common, with a lifetime prevalence in the general population ranging in different studies between 30% and 78%. TTH, divided into episodic and chronic types, introduced in the manual "International Classification of Headache Disorders"(ICHD-I), is of practical importance. Infrequent episodic headaches (no more than once a month) may not require drug therapy, but, on the contrary, frequent forms may require expensive treatment.
Objective:
To study the state of cerebral hemodynamics and cerebrovascular reactivity in patients with Tension-type headache and evaluate the efficacy of treatment with Phenibite using Doppler ultrasound.
Materials and Methods:
A retrospective analysis of the results of ultrasound dopplerography of the anterior, middle and posterior cerebral arteries (ACA, MCA and PCA), Vertebral and Basal (VA, BA) arteries was performed in 188 patients with TTH. Among them are infrequent episodic TTH - 68 (36,2%) patients, frequent episodic TTH - 64 (34,0%) patients, chronic TTH - 56 (29,8%) patients. The age of the subjects was 18-45 years, among them 85 (45.2%) men and 103 (54.8%) women. The maximum systolic velocity (Vs), the end diastolic velocity (Vd), the resistance and pulsativity indexes (RI, PI) in all vessels were determined.
Patients were given consent to participate in the study.
Results:
Infrequent episodic (IFE) TTH were recorded in 86.4% of cases, frequent episodic (FE) — in 88.9%, and chronic (Ch) TTH — in 81.6% of cases. Bilateral TTH was noted in 39.2%, frontal localization - in 35.6%, in the occipital region - in 25–7% of cases. The asymmetry of the maximum systolic blood flow velocity (Vs) in the paired arteries within 20-30% was considered a violation of cerebral hemodynamics, which was detected in 38.7% of patients. An increase in Vs was noted in all cerebral vessels, especially in patients with FE TTH and chronic Ch TTH compared with the control group.
In patients with IFE TTH the average value of RcFMt was 1.24±0.03, in patients with FE TTH - 1.25±0.02, in patients with Ch TTH - 1.27±0.03. In patients with TTH, hyper-responsiveness to hypercapnic test was detected: RcCO2 was 1.43±0.05 in the group with FE TTH; 1.39±0.07 in the group of Ch TTH and 1.37±0.04 in the group of IFE TTH, which indicates a tendency for the tension of the vasodilator regulation mechanism even in clinically insignificant forms of TTH. In the study of reactivity to the O2-test, a hyporeactive response was observed in the groups with FE TTH and Ch TTH (0.38±0.04 and 0.35±0.05, respectively.
The treatment with Phenibut carried out in a step-by-step manner - during the first week the drug was applied at a dose of 250 mg 2 times a day, over the next 6 weeks the dose increased to 500 mg 2 times a day, then the dose was reduced back to 250 mg 2 times a day. Among patients with FE TTH, the frequency of headache decreased from 5.7±2.3 to 3.6±2.1 days/month, and in patients with Ch TTH - from 22.8±1.7 to 17.7±1,3 days/month (P<0,05). Influence of the drug was manifested at the initially increased RcFMt and RcCO2. A decrease in initially elevated RcCO2 was noted in all (FE TTH, ChTTH, IFETTH) clinical groups. However, this decrease was not statistically significant.
Conclusion:
In patients with TTH, an increase in the Vs is more often recorded, their asymmetry in the middle cerebral artery. Hyperreactivity on CO2-load is typical for patients with chronic TTH, and reflects the mobilization of metabolic regulation of cerebral blood flow. Conducting FMt was the most informative method for detecting autoregulatory disorders mainly in patients with IFE TTH. FE TTH in patients is characterized by the presence of a hyperactive reaction to hypercapnic and orthostatic tests, probably due to mobilization of humoral-metabolic and neurogenic links of regulation. In the group of patients with chronic TTH prevails hyporeactivity for hyperventilation test, reflecting the depletion of vasoconstriction reserve. The use of Phenibut(Noophen® (JSC Olainfarm Latvia in the treatment of TTH is accompanied by a decrease in the frequency of pain, and of pericranial muscle tone, most pronounced in patients with FE TTH. It's effectiveness is evident in the normalization of the coefficients of cerebrovascular reactivity in a patients with chronic TTH. The minimal statistical significance was observed on the dynamics of blood flow only in the VA.
Author Contributions
Academic Editor: Bruno Vitturi, Faculdade de Ciências Médicas da Santa Casa de São Paulo, Brazil.
Checked for plagiarism: Yes
Review by: Single-blind
Copyright © 2019 Rizvan Ya. Abdullaiev, et al.
This is an open-access article distributed under the terms of the Creative Commons Attribution License, which permits unrestricted use, distribution, and reproduction in any medium, provided the original author and source are credited.
Competing interests
The authors have declared that no competing interests exist.
Citation:
Introduction
Tension-type headache is very common, with a lifetime prevalence in the general population ranging in different studies between 30% and 78%. According to Jensen R and Stovner (2008), the percentage of the adult population with an active headache disorder is 47% for headache in general, 10% for migraine, 38% for tension-type headache, and 3% for chronic headache that lasts for more than 15 days per month 1. According to other researchers, primary tension-type headaches occur in approximately 40% of the adult population worldwide 2. Central sensitization caused by prolonged nociceptive input from muscles is considered to play an important role for chronification of tension-type headache 3.
Directly and indirectly chronic tension-type headache (CTTH) causes high costs and considerable loss of quality of life. Lindelof K. et al. (2009) 5-minute infusion of hypertonic saline was performed in 20 patients with CTTH and 20 healthy controls. Were measured the blink reflex (BR), sensibility to pressure and electrical pain scores before, during and 25 min after the saline infusion. According to Lindelof K. et al (2009) the pain rating of the electrical stimuli and the pain score of the hypertonic saline infusion were significantly higher in CTTH patients than in healthy volunteers. The primary endpoint was the relative change of the blink reflex integral immediately after hypertonic saline infusion. It was significantly smaller in CTTH patients on the contralateral side compared to healthy volunteers, while there was no significant difference on the ipsilateral side 4.
Neck pain is highly prevalent in the general population and even more prevalent in individuals with primary headaches. Prevalence is highest in coexistent M+TTH, followed by pure TTH and migraine. Myofascial tenderness is significantly increased in individuals with neck pain 5. The ICHD-3 diagnostic criteria for chronic tension-type headache are summarized as follows 6.
Headache occurring on ≥ 15 days per month on average for > 3 months (≥ 180 days per year), fulfilling criteria II-IV;
II. Lasting hours to days, or unremitting;
III. ≥ 2 of the following characteristics a. Bilateral location b. Pressing or tightening (non-pulsating) quality c. Mild or moderate intensity d. Not aggravated by routine physical activity;
IV. Both of the following: a. No more than one of photophobia, phonophobia, or mild nausea b. Neither moderate or severe nausea nor vomiting;
V. Not better accounted for by another ICHD-3 diagnosis.
Tension-type headache has a high socio-economic impact. Divided into episodic and chronic types, introduced in the manual "International Classification of Headache Disorders"(ICHD-I), it has practical importance. Infrequent episodic headaches (no more than once a month) may not require drug therapy, but, on the contrary, frequent forms may require expensive treatment. Chronic tension-type headache is a serious disease, causing greatly decreased quality of life and high disability 7. Research results Madsen B.K. et al. (2018) show, there is a lower force steadiness and rate of force development (RFD) in patients with the Tension-type headache (TTH) compared to healthy people 8.
In most cases, the intensity of tension-type headachea is low and this leads to self-diagnosis of the patient and self-treatment with non-prescription drugs. The sooner after onset a tension-type headache is treated, the more effective the agent is at aborting the headache. Lenaerts M.E. (2009) analyzed the literature data on the treatment of Tension-type headaches with drugs such as tricyclic antidepressants and nonsteroidal antinflammatory drugs. Their efficacy was shown mainly in the treatment of episodic TTH 9.
In recent years several studies on the treatment of episodic and chronic tension-type headache have been published, the classification of the headaches, including tension-type headache, has been revised. The basic principles of treatment for tension- type headache have been developed 10.
The analysis was performed of the majority of published medical reference systems for a number of clinical studies on TTH. The results of these studies were recommendations of level A, B, or C and examples of good practice. According to Bendtsen L. et al.(2010) electromyography (EMG) biofeedback has a documented effect in TTH, whilst cognitive-behavioural therapy and relaxation training most likely are effective. Simple analgesics and non-steroidal anti-inflammatory drugs are recommended for the treatment of episodic TTH. Combination analgesics containing caffeine are drugs of second choice. Triptans, muscle relaxants and opioids should not be used. It is crucial to avoid frequent and excessive use of analgesics to prevent the development of medication-overuse headache. The tricyclic antidepressant amitriptyline is drug of first choice for the prophylactic treatment of chronic TTH. Mirtazapine and venlafaxine are drugs of second choice. The efficacy of the prophylactic drugs is often limited, and treatment may be hampered by side effects 11.
First-line acute treatment options for tension-type headaches include acetaminophen, ibuprofen, naproxen sodium, ketoprofen, and diclofenac 12, 13. The effectiveness of pharmacotherapy for tension-type headache depends on the leading mechanism of pain and the effect of a drug on these particular mechanisms. At present, there is no single view on the pathogenesis of TTH. In the origin of TTH are involved as peripheral and central nociceptive mechanisms. In episodic TTH, peripheral (muscular) factors are most important, whereas in chronic TTH, pathogenetic mechanisms are multifactorial in nature 14. Also in the pathogenesis of HDN significant the presence of chronic emotional stress, which is formed under the influence of individually significant psychogenic factors in individuals with functional insufficiency of antinociceptive systems, becomes important 15.
The question of the role of vascular mechanisms in the development of TTH remains relevant. Some researchers suggest that increased potassium concentration, which occurs during prolonged muscle tension, stimulates its chemoreceptors and causes pain. It has also been shown that an increase in muscle tension leads to a narrowing of the arterial vessels and the appearance of ischemia 16.
Among intracranial sources of headache, a part of the dura mater, the arteries of the brain base, and the extracranial arteries, which are innervated by the 1st branch of the trigeminal nerve, may play a certain role. In patients with chronic pain, a secondary role is assigned to the secondary effects of mediator mechanisms on systemic hemodynamics and, in particular, to the cerebral blood flow. Prolonged stress leads to an increase cerebral metabolism and therefore an increase in blood flow, which in turn requires adequate venous drainage. Organic or functional impairment of venous outflow can lead to overflow of venous sinuses and trigeminal nerve irritation. In this way, violation of the relationship between arterial and venous circulatory systems of the brain can be one of the factors leading to leading to the occurrence and chronic headache. Studies show the value of vascular mechanism, as one of the leading pathogenetic factors in both primary TTH and secondary its forms.
Drugs with antiasthenic and anxiolytic effects are traditionally used in the treatment of TTH. Of particular interest in this context is the drug Phenibut - betaenyl-gammaaminobutyric acid hydrochloride. It has directional activating effect only on the GABA-B receptors, and this is precisely its mild anxiolytic action without adverse effects inherent in benzodiazepines 17.
It is interesting to evaluate the efficacy of Phenibit (Noophen® JSC Olainfarm, Latvia) on cerebrovascular reactivity using Doppler ultrasound and various functional tests.
Objective
To study the state of cerebral hemodynamics and cerebrovascular reactivity in patients with Tension-type headache and evaluate the efficacy of treatment with Phenibite using Doppler ultrasound.
Materials and Methods
A retrospective analysis of the results of ultrasound dopplerography of the anterior, middle and posterior cerebral arteries (ACA, MCA and PCA), Vertebral and Basal (VA, BA) arteries was performed in 188 patients with Tension-type Headache. Among them are infrequent episodic (IFE) TTH - 68 (36,2%) patients, frequent episodic (FE) TTH - 64 (34,0%) patients, chronic (Ch) TTH - 56 (29,8%) patients. The age of the subjects was 18-45 years, among them 85 (45.2%) men and 103 (54.8%) women. Patients were given consent to participate in the study.
When assessing the nature of the headache was taken into account qualitative and quantitative parameters, provoking factors, accompanying symptoms, methods of stopping pain. The determination of the pericranial muscle soreness was carried out by palpation followed by the assessment of the Total Tension Scale system.
The State of Cerebrovascular Reactivity was Assessed Using the Following Functional Tests
1. hypercapnic test, reactivity coefficient (Rс CO2);
2. hyperventilation test, reactivity coefficient (Rc О2);
3. orthostatic test, reactivity coefficient (Rc Ot);
4. antiorthostatic test, reactivity coefficient (Rc AОt);
5. functional nitroglycerin test, reactivity coefficient (Rc FNt),
6. functional metabolic test, reactivity coefficient (Rc FMt)
The control group (CG) - 50 clinically healthy volunteers of both sexes of appropriate age. The maximum systolic velocity (Vs), the end diastolic velocity (Vd), the resistance and pulsativity indexes (RI, PI) in all vessels were determined.
Statistical analysis and material processing was performed using the Statistic 6.0 software package. Differences recognized statistically significant at P <0.05.
Results
Among the surveyed, infrequent episodic (IFE) TTH were recorded in 86.4% of cases, frequent episodic (FE) — in 88.9%, and chronic (Ch) TTH — in 81.6% of cases. Bilateral TTH was noted in 39.2%, frontal localization - in 35.6%, in the occipital region - in 25–7% of cases. As a provoking factor for TTH, emotional stresses occurred in 38.4%, wearing tight headgear - in 22.1%, combing - in 13.2% of cases, respectively. Nausea was observed in 11.4% of cases, phonophobia - in 8.3%, vomiting - in 4.4%, photophobia - in 4.1%, vegetative dysfunction in 74.7%, emotional lability - in 67.8%, extended tendon hyperreflexia without focal neurological symptoms in 48.7% of cases, respectively (Table 1).
Table 1. Clinical characteristics of patients with TTH| IFE TTH | FE TTH | Ch TTH | |
| Age, years | 25,7 ± 4,2 | 32,7 ± 6,3 | 38,8 ± 7,4 |
| Duration TTH, years | 3,8 ± 2,2 | 6,9 ± 4,3 | 9,5 ± 6,1 |
| Frequency TTH, days/month | 0,97 ± 0,3 | 5,7 ± 4,3 | 22,8 ± 7,7 ** |
| The intensity of headache on VAS (Visual Analogue Scale), points | 3,1 ± 1,3 | 3,5 ± 1,4 | 7,3 ±2,1 * |
| Soreness of the pericranial muscles, the average score | 1,2 ± 0,4 | 1,2 ± 0,6 | 3,3 ± 0,4 * |
| Frequency of taking analgesics, days / month | 0,7 ± 0,2 | 2,3 ± 1,7 | 8,8 ± 3,6 * |
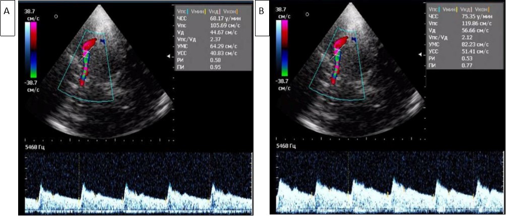
The asymmetry of the maximum systolic blood flow velocity (Vs) in the paired arteries within 20-30% was considered a violation of cerebral hemodynamics, which was detected in 38.7% of patients. An increase in Vs was noted in MCA in patients with Ch TTH and FE TTH compared with the control group (Figure 1, Figure 2A and B).
Figure 1.Parameters of Vs (cm/c) in the main cerebral arteries in a patients with TTH.
Figure 2.Registration of blood flow in the left (A) and right (B) middle cerebral arteries in triplex mode (A). High and asymmetric Vs (105 cm/s and 119 cm/s) are determined in the middle cerebral arteries.
RcFMt parameters were significantly increased in all clinical groups. In patients with IFE TTH the average value of this coefficient was 1.24±0.03, in patients with FE TTH - 1.25±0.02, in patients with Ch TTH - 1.27±0.03.
In patients with TTH, hyper-responsiveness to hypercapnic test was detected: RcCO2 was 1.43±0.05 in the group with FE TTH; 1.39±0.07 in the group of Ch TTH and 1.37±0.04 in the group of IFE TTH, which indicates a tendency for the tension of the vasodilator regulation mechanism even in clinically insignificant forms of TTH. In the study of reactivity to the O2-test, a hyporeactive response was observed in the groups with FE TTH and Ch TTH (0.38±0.04 and 0.35±0.05), respectively (Figure 3). As can be seen from Figure 3, in all groups, the reactivity coefficient (Rc) when performing functional tests using CO2 and FMt was significantly higher than using O2 (P <0.001).
Figure 3.Parameters of reactivity coefficient (Rc) to the CO2, O2 and FMt test in a patients with TTH.
As can be seen from Figure 4 similar results were obtained with the antiorthostatic test (RcAOt) compared with the results of the orthostatic (RcOt) and functional test with nitroglycerin (RcFNt). However, in the study of reactivity to orthostatic, nitroglycerin and antiorthostatic tests there were no significant differences between the parameters of patients with IF TTH, FE TTH, Ch TTH and CG.
Figure 4.Parameters of reactivity coefficient (Rc) to the orthostatic test (Ot), antiorthostatic test (AOt) and functional nitroglycerin test (FNt) in a patients with TTH.
We have carried out a clinical doppler study of the influence of Phenibut(Noophen® JSC Olainfarm, Latvia) on the clinical symptoms of TTH, parameters of cerebral hemodynamics and cerebrovascular reactivity.
To assess the effectiveness of Phenibut, the following were taken into account: frequency and intensity of headache, pain in the pericranial muscles, Vs of the cerebral arteries, Rc CO2, RcО2, RcОt, RcAОt, RcFMt and RcFNt in a patients with TTH before and after treatment. The treatment was carried out in a step-by-step manner - during the first week the drug was applied at a dose of 250 mg 2 times a day, over the next 6 weeks the dose increased to 500 mg 2 times a day, then the dose was reduced back to 250 mg 2 times a day. (Figure 5)
Figure 5.Dynamics of headache frequency in a patients with TTH during treatment with Phenibut
As can be seen from figure 5 among patients with FE TTH, the frequency of headache decreased from 5.7±2.3 to 3.6±2.1 days/month, and in patients with Ch TTH - from 22.8±1.7 to 17.7±1.3 days/month (P<0,05).
In all clinical groups, the Visual Analogue Scale (VAS) headache intensity indices gradually decreased from 3.1±1.1 points to 1.8±0.7 points in the group of IFE TTH, from 3.5±1.4 points to 1.9±1.1 points in the group of FETTH and from 7.3±2.1 points to 5.2±1.7 points in the group of ChTTH (Figure 6). As can be seen from the figure, the headache intensity in all groups decreased statistically insignificantly.
Figure 6.Dynamics of headache intensity frequency in a patients with TTH during treatment with Phenibut
The dynamics of pain in the pericranial muscles before and after treatment is presented in Figure 7. As can be seen from figure, according to the visual analogue scale (VAS) , the degree of pain in the pericranial muscles decreased in all clinical groups, however, the minimal statistical significance (P<0,05) was observed only in patients with chronic TTH (from 3.3±0.3 points to 2.4±0.2 points).
Figure 7.Dynamics of indicators of pericranial soreness muscles in a patients with TTH during treatment with Phenibut
The pharmacotherapeutic effect of Noofen on the dynamics of blood flow indices in the main cerebral arteries is shown in Figure 8. The average value of the Vs in all groups before and after treatment was differented not significantly.
Figure 8.Dynamics of Vs in MCA, ACA, PCA in a patients with TTH during treatment with Noofen
The pharmacotherapeutic effect of drug on the dynamics of blood flow indices in the vertebral and basal arteries before and after treatment is shown in Figure 9. The minimal statistical significance (P<0,05) was observed only in the VA (from 41.4±1.3 cm/s to 37.2±1.4 cm/s).
Figure 9.Dynamics of Vs in VA and BA in a patients with TTH during treatment with Noofen
The results of Phenibut on vascular reactivity parameters are shown in figure 10. To a greater extent, the effect of the drug was manifested at the initially increased RcFMt and RcCO2. A decrease in initially elevated RcCO2 was noted in all clinical groups: from 1.43±0.05 to 1.38±0.04 in patients with FE TTH; from 1.39±0.05 to 1.37±0.06 in patients with ChTTH and from 1.37±0.04 to 1.35±0.05 in patients with IFE TTH. RcFMt decreased from 1.24±0.03 to 1.19±0.02 in patients with IFETTH and from 1.25±0.04 to 1.19±0.02 in patients with FETTH (almost reaching normal values). RсCO2 also decreased in patients with ChTTH - from 1.39 ± 0.07 to 1.37 ± 0.04 - almost to normal values.
Figure 10.Dynamics of RcCO2, RcO2 and RcFMt in a patients with TTH during treatment with Noofen
An increase in initially reduced RCO2 coefficients was recorded in patients with FETTH and ChTTH (from 0.38 ± 0.04 to 0.42 ± 0.05 and from 0.35 ± 0.05 to 0.41 ± 0.03, respectively). The results of the studies indicate that, by analogy with the dynamics of cerebral blood flow, Phenibut has a regulating effect on cerebrovascular reactivity coefficients, reducing initially elevated and increasing initially decreased rates.
When performing orthostatic and hypercapnic load, a similar (identical) auto-regulating effect of Noofen on vascular reactivity was found. The initially increased RcOt in patients with FETTH decreased from 0.18±0.03 to 0.14±0.2 and from 0.19±0.04 to 0.14±0.03 in patients with ChTTH. No significant changes were observed in initially close to the normative indicators in patients with IFETTH, which once again confirms the selectivity of the influence of Noofen on the mechanisms of vascular autoregulation. A similar picture was characteristic of the initially close to the standard parameters of RcAOt and RcFNt (Figure 11).
Figure 11.Dynamics of RcOt, RcAOt and RcFNt in a patients with TTH during treatment with Noofen
Thus, the effectiveness of Phenibut(Noophen® JSC Olainfarm, Latvia) is manifested in a decrease in the frequency of headaches, tension in the pericranial muscles, especially in patients with ChTTH, which, in Doppler studies, are reflected in a has a regulate on cerebrovascular reactivity coefficients.
Discussion
Tension-type headache (TTH) is the most common type of primary headaches, and its chronic form, chronic tension-type headache (CTTH), is affecting 0.5 to 4.8 % of the worldwide population. In pathogenesis of chronic tension-type headache the leading role is assigned to the central and peripheral mechanisms 18.
By its very definition according to the International Classification of Headache Disorders, third edition (beta version) (ICHD-3 beta), CTTH is defined as the occurrence of TTH at a frequency of ≥15 days per month, with typically bilateral, pressing, or tightening in quality, and of mild to moderate intensity, lasting hours to days, or unremitting. The pain does not worsen with routine physical activity but may be associated with mild nausea, photophobia, or phonophobia 19.
The exact pathogenesis of TTH remains unclear. Generally, peripheral mechanisms and central mechanisms are intermingled in TTH. The central mechanisms such as central sensitization might predominate in CTTH. Possible peripheral mechanisms leading to pericranial muscle tenderness and pressure pain include inflammatory reaction, decreased blood flow, increased muscle activity, and muscle atrophy. Lots of previous studies have provided in vivo evidences of peripheral muscle abnormal metabolism in the pathophysiology of CTTH 14.
Pharmacological therapies for CTTH can be subdivided into the abortive treatment of each acute exacerbation and longterm, prophylactic treatment. CTTH is generally treated with analgesics or nonsteroidal anti-inflammatory drugs 20, 21, 22. Antidepressants, antispasmodic, new antiepileptics, and some local injections are commonly prescribed options for prophylactic treatment 23.
It has been established that arterial partial pressure alteration of CO2 affects not only the cerebral blood flow velocity but also the systemic arterial blood pressure (ABP). At the same time, ABP can affect the cerebral blood flow 24.
Phenibut (beta-phenyl-gamma-aminobutyric acid HCl) is a neuropsychotropic drug that was discovered and introduced into clinical practice in Russia in the 1960s. It has anxiolytic and nootropic effects. It also stimulates dopamine receptors and antagonizes beta-phenethylamine (PEA), a putative endogenous anxiogenic. Phenibut is widely used in Russia to relieve tension, anxiety, and fear 25, 17.
In USA Phenibut is Unscheduled. Phenibut is available as a nutritional supplement as it meets the criteria of the Dietary Supplement Health and Education Act 1994 (DSHEA) as a synthetic amino acid derivative. It is usually promoted with health maintenance claims (eg, helps to keep you calm) instead of disease state or condition claims (eg, reduces anxiety) (Cutter 2016, Owen et al, 2016) 26.
We also studied the role of autoregulatory mechanisms in patients with chronic TTH using CO2, O2, metabolic and nitroglycerin functional tests. The results of our studies in patients with IFE TTH showed a slight hyperreactivity on the CO2-test, which confirms the postulate of the intensity of the humoral-metabolic mechanism and allows us to recommend the use of FMt and CO2-test in patients with a slightly manifestation of cephalgic syndrome. Evaluation of the regulatory response to respiratory loads allows identifying the leading reactivity patterns in various variants of TTH - the complication of the vasodilator mechanism in ETTH and depletion vasoconstrictor mechanism with ChTTH.
When conducting a literary search on the subject of TTH pharmacotherapy, we did not find papers on drugs affecting the vascular mechanisms of headache development. We decided to study the effectiveness of Phenibut(Noophen® JSC Olainfarm, Latvia) in the treatment of various forms tension-type headach. In addition to clinical symptoms, we recorded blood flow in the main cerebral arteries using Doppler sonography. In recently published articles, we have shown the role of Doppler sonography in the assessment of hemodynamics in brain vessels in migraines and in vertebral arteries in cervicogenic headache 27, 28, 29.
Conclusion
In patients with TTH, an increase in the Vs is more often recorded, their asymmetry in the middle cerebral artery. Hyperreactivity on CO2-load is typical for patients with chronic TTH, and reflects the mobilization of metabolic regulation of cerebral blood flow. Conducting FMt was the most informative method for detecting autoregulatory disorders mainly in patients with IFE TTH. FE TTH in patients is characterized by the presence of a hyperactive reaction to hypercapnic and orthostatic tests, probably due to mobilization of humoral-metabolic and neurogenic links of regulation. In the group of patients with chronic TTH prevails hyporeactivity for hyperventilation test, reflecting the depletion of vasoconstriction reserve. The use of Phenibut((Noophen® (JSC Olainfarm, Latvia) in the treatment of TTH is accompanied by a decrease in the frequency of pain, and of pericranial muscle tone, most pronounced in patients with FE TTH. It's effectiveness is evident in the normalization of the coefficients of cerebrovascular reactivity in a patients with chronic TTH. The minimal statistical significance was observed on the dynamics of blood flow only in the VA.
Comments
The results of our research have not shown high efficacy of Phenibit in TTH. However, the absence of side effects of the drug and the presence of a positive trend with minimal statistical reliability for some clinical symptoms and Doppler results, more in-depth studies with the involvement of a large number of patients, biochemical tests are needed to study the pathogenic mechanisms of its action.
Abbreviations
ICHD: International Classification of Headache Disorders;
CH: Cervicogenic Headache;
Ot – Ortostatic test;
AOt – antiortostatic test;
FMt – functional methabolism test;
IFE TTH - infrequent episodic TTH; FE
TTH – Frequent episodic TTH; CH
TTH – Chronically TTH;
VAS – Visual Analogue Scale;
References
- 1.Jensen R, Stovner L J. (2008) Epidemiology and comorbidity of headache. , Lancet Neurol 7, 354-361.
- 3.Buchgreitz L, Egsgaard L L, Jensen R. (2008) Abnormal pain processing in chronic tension-type headache: A high-density EEG brain mapping study. , Brain 4(131), 3232-3238.
- 4.Lindelof K, Ellrich J, Jensen R. (2009) Central pain processing in chronic tension-type headache. , Clin Neurophysiol 120, 1364-1370.
- 5.Bendtsen L AshinaS, Lyngberg A C, Lipton R B, Hajiyeva N, Jensen R. (2015) Prevalence of neck pain in migraine and tension-type headache: a population study. [PubMed] , Cephalalgia 35, 211-219.
- 6. (2016) . The International Classification of Headache Disorders 3rd Edition (Beta version). International Headache Society; .
- 7. (2018) Headache Classification Committee of the International Headache Society (IHS) The International Classification of Headache Disorders, 3rd edition. , Cephalalgia 38(1), 211.
- 8.B K Madsen, Sogaard K, L, Skotte J, Tomoe B et al. (2018) Neck/shoulder function in tension-type headache patients and the effect of strength training. , J Pain Res 11, 445-454.
- 9.M E Lenaerts. (2009) Pharmacotherapy of tension-type headache (TTH). Expert opin Pharmacother. 10(8), 1261-71.
- 10.Bendtsen L, Bigal M E, Cerbo R. (2010) Guidelines for controlled trials of drugs in tension-type headache: Second edition. , Cephalalgia 30, 1-16.
- 11.Bendtsen L, Evers S, Linde M. (2010) EFNS guideline on the treatment of tension-type headache – Report of an EFNS task force. , Eur J Neurol 17, 1318-1325.
- 12.R A Moore, Derry S, P J Wiffen, Straube S, Bendsten L. (2014) Evidence for efficacy of acute treatment of episodic tension-type headache: methodological critique of randomised trials for oral treatments. , Pain 155(11), 2220-8.
- 13.Derry S, P J Wiffen, R A Moore, Bendsten L.Ibuprofen for acute treatment of episodic tension-type headache in adults. Cochrane Database Syst Rev.2015Jul31.doi;10.1002/14651858.CD011474.pub2.(7):CD011474.
- 14.Bendtsen L, Fernández-de-la-Peñas C.The role of muscles in tension-type headache. Curr. Pain Headache Rep. – 2011. - №15(6). – Р 451-458.
- 15.Cathcart S, Petkov J, Winefield A H. (2010) Central mechanisms of stress-induced headache. Cephalalgia. 30, 285-295.
- 16.Madsen B K, Søgaard K, Andersen L L, Skotte J H, Jensen R H. (2016) Neck and shoulder muscle strength in patients with tension-type headache: a case-control study. Cephalalgia.36(1): 29–36. [PubMed]
- 17.S G Burchinsky. (2016) The place of anxiolytic and nootropic pharmacotherapy in the strategy of treatment and prevention of post-traumatic stress disorder // Liki Ukraine.No.7/8(203/204).
- 18.Yu S, Han X. (2015) Update of Chronic Tension-Type Headache.doi: 10.1007/s11916-014-0469-5.Curr Pain Headache Rep. 19, 469.
- 19. (2013) Headache Classification Committee of the International Headache S. The International Classification of Headache Disorders, 3rd edition (beta version). , Cephalalgia 33(9), 629-808.
- 20.Stephens G, Derry S, R A Moore. (2016) Paracetamol (acetaminophen) for acute treatment of episodic tension-type headach in adults. Cochrane Database Syst Rev. 011889.
- 21.Veys L, Derry S, R A Moore. (2016) Ketoprofen for episodic tension-type headach in adults. Cochrane Database Syst Rev. 9, 012190.
- 22.Derry S, P J Wiffen, R A Moore. (2017) Aspirin for acute treatment of episodic tension-type headach in adults. Cochrane Database Syst Rev. 1-011888.
- 23.Liang J, Liu X, Zheng J, Yu S. (2013) Effect of amitriptyline on tetrodotoxin-resistant Nav1.9 currents in nociceptive trigeminal neurons. , Mol Pain 9, 31.
- 24.D V Kuznetsova. (2014) Cerebrovascular and systemic hemodynamic response to carbon dioxide in humans /. Kulikov // Blood Pressure Monitoring. - 19(2), 81-89.
- 25.Lapin I. (2001) Phenibut (beta-phenyl-GABA): a tranquilizer and nootropic drug. CNS Drug Rev. , Winter; 7(4), 471-81.
- 26.Classification of Phenibut. Submission to the Medicines Classification Committee. Medsafe.January2018
- 27.RYa Abdullaiev, Kalashnikov Posokhov NF, Kostyukovskaya A E. (2018) Dopplerographic evaluation of blood flow parameters in vertebral arteries in patients with cervicogenic headache in the presence of uncovertebral arthrosis. , Med J Clin Trials Case Stud 2(4), 000146.
- 28.Abdullaiev R Ya, V I Kalashnikov, I A Voronzhev, E P Sharmazanova, A E Kostyukovskaya et al. (2018) Dopplerographic assessment of blood flow parameters of vertebral arteries in patients with cervicogenic headache due to arthrosis and instability of atlanto-axial junction. , Trends Tech Sci Res 1(5), 555573.
