Reversible Posterior Encephalopathy Syndrome and Related Factors: Clinical Cases Study
Abstract
Background
Reversible posterior encephalopathy syndrome (RPE) is a clinical and radiological entity characterized by the acute or subacute fitting of symptoms covering headache, vomiting, visual disturbances, seizures and impairment of consciousness. The pathophysiology of RPE syndrome is poorly described. RPE syndrome is characterized by a reversible cerebral edema of often posterior topography in magnetic resonance imagery (MRI).
Cases Presentation
We consider RPE syndrome four cases under various conditions that are known as airplane flight, hypertension, non-steroidal anti-inflammatory medication, pregnancy and oldness with several pathologies. The RPE was described with several symptoms like headaches, vomiting, focal motor deficit, paresthesia, seizures, disorders of consciousness and photophobia. The imagery findings were varying from cortical hypersignals in Flair sequences to edema of both cortex and sub cortex. The outcome was good with a complete regression of symptoms and imagery lesions.
Conclusion
The pathophysiological mechanism of RPE syndrome remains unknown. High blood pressure, renal failure and drugs (anti-depressants, NSAIDs, immunosuppressants) are the most etiological factors. The diagnosis is based on clinical arguments and brain MRI. The main location is posterior. The clinical outcome was good with all the patients in our study, no recurrence was noted.
Author Contributions
Academic Editor: Sasho Stoleski, Institute of Occupational Health of R. Macedonia, WHO CC and Ga2len CC, Macedonia.
Checked for plagiarism: Yes
Review by: Single-blind
Copyright © 2020 Abidé Talabewui, et al.
This is an open-access article distributed under the terms of the Creative Commons Attribution License, which permits unrestricted use, distribution, and reproduction in any medium, provided the original author and source are credited.
Competing interests
The authors have declared that no competing interests exist.
Citation:
Introduction
Reversible posterior encephalopathy syndrome (RPE) is a clinical and radiological syndrome characterized by an acute or sub-acute onset of symptoms encompassing headache, vomiting, visual disturbances, epileptic seizures and consciousness impairment. This clinical pathology is typically related to the radiological aspect of a vasogenic cerebral edema and most notably in an occipital and parietal topography of the brain hemispheres 1. Although RPE syndrome, recently described, is rare, it becomes more and more frequent and widespread all over the world thanks to the diagnostic tools performance called Magnetic Resonance Imaging (MRI).
Purpose
This article purports to describe the clinical, radiological and the outcome aspects of RPE syndrome through clinical cases study.
Case Study One (1):
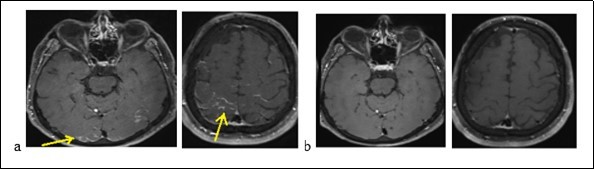
Mr. P.B., a man of 56, suffering from a left sudden hemiparesis within 30 minutes, was admitted to hospital on September 21, 2017. The beginning was marked by a feeling of head emptiness and unusual serious headache during a flight. This headache was followed by gradual paraesthesia of the left hemibody, moving from the vertex to the lower limbs. A left hemiparesis and speech disturbance resulted from paraesthesias. These symptoms decreased about 10 minutes. The plane had landed under an emergency condition and the patient was admitted to stroke emergency unity. There is a need to say that he had no history of vascular pathology before. On test, the result showed that blood pressure was 144/96 mm Hg. Consciousness of the patient was normal with good temporo-spatial orientation. Besides, Neurological test and other tools were normal. The routine biological test was normal too: the blood count, the C-reative Protein (CRP), blood urea, creatinine, ionogram, transaminases and gammaglutamyl transferases were normal. There was no abnomalies in the immunological assessment (antinuclear, anti cardiolipids, anti B2 GP1, circulating anti-body of lupus type, ANCA and native anti DNA). The serologies: Human immunodeficiency virus (HIV), Syphilis, Lyme, viral hepatitis C and B (HVC, HVB ) were negative. The cerebro-spinal fluid (CSF) was normal. A brain MRI (Figure 1a) displayed a cortical contrast enhancement in relation with possibly pial leptomeningeal involvement, some hypersignals on Flair sequences of frontal and parietal subcortical white matter. An assessment of pachymeningitis with a thoraco-abdomino-pelvic scanner and an electroencephalogram (EEG) were normal. The cerebral MRI (Figure 1b) after 8 days had shown a complete regression of the lesions. We noted that the diagnosis of an RPE syndrome facing the serious onset of symptoms, the MRI findings and the complete decrease of the lesions.
Figure 1.Brain MRI displaying occipital cortical hypersignals in Flair sequences (a) and decrease of lesions (b)
Case Study Two (2):
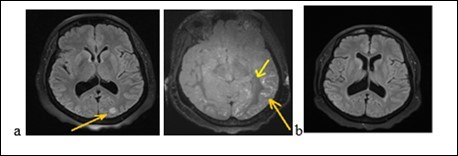
Mrs. A.S., a woman of 56, was admitted to hospital on february 9, 2018 for gradual onset in a three week, confusion, intense and diffuse headache with vomiting and photophobia. She treated the headache in automedication with a non-steroidal anti-inflammatory drug (NSAID, ibuprofen). The symptoms had worsened after 3 weeks with a serious trouble as her environment noted it. She had no story of vascular pathology. The neurological examination noted a neck stiffness, trouble and mutism. On the cardiovascular examination, the blood pressure was of 210/90 mm Hg. The examination of the other organs was normal. The blood count showed a leukocytosis at 12600 / mm3. The serum creatinine, glycemia, thyroid hormones and blood ionogram were normal. The cerebrospinal fluid (CSF) revealed 27cells/mm3 predominantly neutrophilic, with a normal glycorachia and hyperpropteinorachia of 0.6g/l. There was no germ in CSF after the preparations. The initial brain MRI (Figure 2a) had shown a range of edema in the left occipital lobe and diffuse enhancement of the leptomeninges. The electroencephalogram (EEG) had shown some slow waves in the left occipital lobe, with no epileptic figure or encephalopathy. The patient had been treated with nimodipine (60 mg every 8 hours) associated with analgesic drugs. The trouble and headache had decreased. The brain MRI (Figure 2b) at one (1) month had shown a complete decrease of the germs. The clinical and imagery findings fell on diagnosis of RPE syndrome.
Figure 2.Cerebral MRI showing a left occipital edema and a diffuse contrast enhancement of the leptomeninges (a) with complete decrease of the lesions after treatment (b)
Case Study Three (3):
A 31-year-old pregnant woman was admitted to hospital because of headaches, vomiting and rotational dizziness on December 29, 2017. A series of headache followed by vomiting and dizziness began at 33 weeks of pregnancy (a month before her admission). We noticed that the blood pressure reached 150 / 90mmHg. She was treated with oral nicardipine for one month. The delivery took place without postpartum complications. She had been treated with bromocriptine for breast congestion. Three days after delivery, she had thunderclap posterior headache, nausea chills with asthenia without fever, polyuria and polydipsia. The manifestation of the headache was 9.5 / 10 on the Visual analogical Scale. In her medical history, she underwent a surgery of an ovarian cyst and a left temporal arachnoid cyst in 2007. She is an active smoker at 15 boxes-years. The neurological and other physical examinations were normal. The routine biological, metabolic, infectious and immunological check-up was normal. The MRI had displayed a subarachnoid hemorrhage associated with hypersignals on Flair sequences of bilateral hemispherical cortex, on the central gray nuclei and the cerebellar hemispheres. The Angiography had not shown any stenosis. The MRI (Figure 3) had displayed on diffusion sequences, two punctiform infarction of right putamen and caudate nuclei. The apparent diffusion coefficient was high for the other bi-frontal lesions. All these findings led us to conlude with RPE syndrome complicated by subarachnoid hemorrhage and cerebral ischemia. The patient had been treated with decreasing dose of nimodipine for three months. At 6 weeks of progress, the neurological examination was normal. The Brain MRI (Figure 3b) displayed a complete decrease of the flair hyper signals from the basal ganglia and the cortex. The outcome was good.
Figure 3.The brain MRI with flair sequences showing bi-temporal and frontal hyper signals (a) and a complete decrease of lesions after treatment (b).
Case Study Four (4):
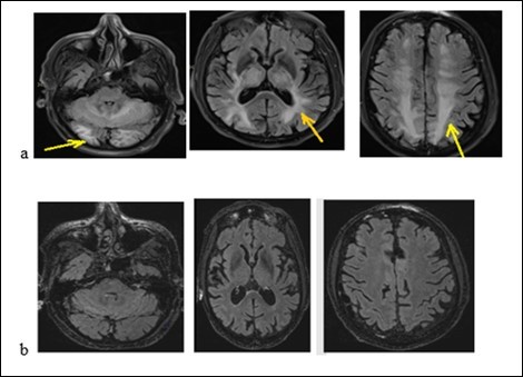
An old man of 74 called J. R. was admitted to hospital on January 26, 2018 for generalized tonic-clonic seizures. The symptoms began 2 weeks before his admission by abdominal pain, vomiting, diarrhea without fever. They were followed by generalized tonic-clonic seizures. According to his medical history, he suffers from high blood pressure, non-insulin-dependent diabetes, chronic obstructive pulmonary disease (COPD), moderate renal failure on a single kidney. He underwent a left nephrectomy for a papillary urothelial tumor, a right upper pulmonary lobectomy for the removal of a bronchial adenocarcinoma. He has been treated with Gemcitabine (Gemzar) and by Fluorine uracil (Folfox) for a pancreatic adenocarcinoma. He also has 3 adrenal nodules. The physical examination noted drowsiness but the patient was reactive to minor stimuli with a Glasgow score of 13/15, a flaccid right hemiplegia. We noted that there was not a neck thifness. Besides, the blood pressure was 210/95 mm Hg and the heart rhythm was regular without heart murmur or additional noises. The rest of the physical examination was normal. The biological check-up had shown a creatinine level at 203 micromol/l with a clearance at 29.9 ml/min, a hyperkalaemia at 6 mmol/l and a hypercalcemia at 2.62 mmol/l. The CSF study had shown a hyperproteinorachy at 0.940g / l, a glycorachy at 5.6 g/l, the CSF count cell displayed 6 cells/mm3 without germ. The brain MRI (Figure 4a) had displayed on flair sequences, diffuse and symmetrical hyper signals of the sub-cortical white matter of the temporal, occipital, frontal lobe and the cerebellum. These radiological findings evoked a RPE syndrome. The treatment included hyperhydration and an anti-epileptic drug. The outcome was noticeable with the decrease of symptoms. We relied on the diagnosis of RPE syndrome. The brain MRI checking-up (Figure 4b) at 40 days was displaying a complete decrease of the lesions.
Figure 4.Brain MRI with flair sequences showing hyper signals of white matter and cerebellum corresponding to edema (a) and the decrease of lesions after treatment (b).
Discussion
We have noticed that the ratio of our study was of two (2) women over two (2) men. Some studies have highlighted woman predominance in this pathology. This woman dominance could be clarified by a disruption in brain self-regulation owing to hormonal factors in women. According to RPE, victims are often young adult subjects 2. Patients manifested co-morbidities or promoting factors or high blood pressure that lead to cerebrovascular endothelial damage. The high blood pressure, medication, and kidney failure are the most common co-morbidities 3. Symptoms were largely dominated by unusual headaches. These headaches were sometimes associated with consciousness impairment. The seizures were focal or generalized, often associated with headache and visual disturbances 4. These are very often the most common warning signs of RPE syndrome. The focal neurological symptoms, especially motor and sensory are unusual. An increased blood pressure was the main factor often involved but the presence of high blood pressure is not an absolute condition for the PRE syndrome 5. This event confirms the hypothesis that endothelial damage is partialy responsible for vasogenic edema associated with an increased vascular sensitivity to vasopressive agents. The imagery findings of RPE are bilateral and symmetrical, typically localized in the white matter and predominant in the occipital, parietal and the posterior regions of temporal lobes. Unilateral atypical localizations or in anterior area have been described 6.
This topography affects the occipital, temporal and parietal lobes. The most often atypical frontal locations are described. The location is sometimes sub-tensorial, affecting the cerebellum and sometimes the brainstem. In most cases, the standard immunological and biological check-up is normal in young subjects. The liver disorders are seldom. The rare cases of disorders influence kidney and ionogram 7. Some differential elements in the diagnosis of RPE often call for a lumbar puncture, but the cerebrospinal fluid (CSF) is often normal 8. The treatment of RPE syndrome is symptomatic and etiological especially with an anti-hypertensive treatment and the correction of promoting factors. Some complications can be associated with lesions of RPE syndrome. These complications are dominated by cerebral ischemia by vasospasm, parenchymal or arachnoid hemorrhages and reversible vasoconstriction syndrome (RVCS) 9. These complications lead to a poor outcome of RPE syndrome in most cases. The complications noted with our patients are similar and dominated by brain hemorrhage. The complete decrease of the clinical symptoms and imagery findings is the rule, due to the reversibility of the lesions. The brain damage decreases in an average of three months, sometimes taking up to a year. The death can occur because of complications-related RPE syndrome 10. The recovery cases with sequella are possible, most often due to cerebral ischemia and recurrences.
Conclusion
The pathophysiological mechanism of RPE syndrome remains unknown. However, the loss of cerebral vascular self-regulation and the occurrence of endothelial cell damage are the main targeted mecanism. High blood pressure, renal failure and drugs (anti-depressants, NSAIDs, immunosuppressants) are the most etiological factors. The symptoms are dominated by unusual headaches of several topography, seizures and focal neurological deficit. The diagnosis is based on clinical arguments and brain MRI. The main location is posterior. However, atypical topography in anterior and subtentorial are possible. The clinical outcome was good with all the patients in our study, no recurrence was noted.
Funding
Not applicable
Ethics Approval and Consent to Participate
Not applicable
Informed Consent
Not applicable
Authors' Contributions
Each author contributed to the conception, analysis, and interpretation of data; have drafted the work and revised it. All authors have approved the submitted version
Availability of Data and Materials
All data in this article are available at Henri-Mondor Hospital, Neurology Department, 51 avenue du Maréchal de Lattre de Tassigny, 94000 Créteil – Paris – France.
Acknowledgements
Not applicable
References
- 1.Fugate J E, Claassen D O, Cloft H J, Kallmes D F, Kozak O S et al. (2010) Posterior reversible encephalopathy syndrome: associated clinical and radiologic findings. Mayo Clin Proc. 85(5), 427-432.
- 2.Araqi-Houssaini A, Salmi S, Moussaid I, Guennoun M A, Elyoussoufi S et al. (2011) Syndrome d’encéphalopathie postérieure réversible et éclampsie étude descriptive de 13 cas au Maroc. , Rev Neurol (Paris),167 11, 812-819.
- 3.Alhilali L M, Reynolds A R, Fakhran S. (2014) A multi-disciplinary model of risk factors for fatal outcome in posterior reversible encephalopathy syndrome. , J Neurol Sci.347: 59-65.
- 4.Kastrup O, Gerwig M, Frings M, Diener H C. (2012) Posterior reversible encephalopathy syndrome (PRES): electroencephalographic findings and seizure patterns. , J Neurol 259(7), 1383-1389.
- 5.Legriel S, Pico F, Bruneel F, Troché G, Bedos J-P. (2011) Des pathologies encéphaliques à connaître Syndrome d’encéphalopathie postérieure réversible. Réanimation; 20(S2):. 368-378.
- 6.Hugonnet E, Da Ines D, Boby H, Claise B, Petitcolin V et al. (2013) Posterior reversible encephalopathy syndrome (PRES):. features on CT and MR imaging. Diagn Interv Imaging 94(1), 45-52.
- 7.H Ergun T Lakadamyali, Yilmaz A. (2008) Recurrent posterior reversible encephalopathy in a hypertensive patient with end-stage renal disease. Diagn Interv Radiol. 14-182.
- 8.Neeb L, Hoekstra J, Endres M, Siegerink B, Siebert E et al. (2016) Spectrum of cerebral spinal fluid findings in patients with posterior reversible encephalopathy syndrome. J Neurol. 263(1), 30-34.
