Chute and Conduit-Tubular Carcinoma Breast
Abstract
A brief case communication discusses a rare breast carcinoma subtype, summarizing pathology features, imaging, and considerations for surgical and adjuvant management.
Author Contributions
Academic Editor: Raul Isea, Institute of Advanced Studies Foundation – IDEA
Checked for plagiarism: Yes
Review by: Single-blind
Copyright © 2024 Anubha Bajaj
This is an open-access article distributed under the terms of the Creative Commons Attribution License, which permits unrestricted use, distribution, and reproduction in any medium, provided the original author and source are credited.
Competing interests
The authors have declared that no competing interests exist.
Citation:
Editorial
Tubular carcinoma configures as a special subtype of invasive carcinoma breast. Neoplasm is preponderantly (>90%) constituted of distinct, ovoid or angular, well differentiated tubular structures delineating open lumens. Tubular articulations are layered by singular layer of malignant epithelial cells impregnated with low grade nuclei. Neoplastic cellular component is enmeshed within a fibrous tissue stroma or may evoke a desmoplastic stromal reaction. Mitotic activity is minimal. Neoplasm is associated with favourable prognostic outcomes. Additionally designated as invasive tubular carcinoma, neoplasm configures as a grade I lesion. Tumour cells appear immune reactive to oestrogen receptors (ER) and immune non reactive to HER2.
Tubular carcinoma comprises of ~1.6% of invasive carcinoma breast and commonly arises within postmenopausal female subjects. Median age of disease representation is 63 years. In contrast to African Americans, Caucasian female subjects demonstrate an enhanced incidence of tubular carcinoma. Commonly appearing within the breast, specific predilection for site of disease emergence is absent 1, 2. Tubular carcinoma depicts alterations within molecular pathways concurrent with immune reactive oestrogen receptors. Frequently, tumour cells delineate concordant genomic alterations such as loss of chromosome 16q and gain of chromosome 1q. Infrequently, genomic alterations as gain of chromosome 16p and loss of chromosome 8p, 3p (FHIT genetic locus) and 11q (ATM genetic locus) may be observed 1, 2. In contrast to invasive ductal carcinoma of no special type, neoplasm is associated with minimal chromosomal alterations. Lesions such as flat epithelial atypia and low grade ductal carcinoma in situ appear as concurrent clone- specific neoplasms 1, 2.
Of non specific aetiology, tubular carcinoma breast may emerge as luminal A molecular subtype of carcinoma breast. Neoplasm is posited to arise as a consequence of sequence of molecular events commencing with flat epithelial atypia. Concurrence of conditions as columnar cell lesions, atypical ductal hyperplasia, ductal carcinoma in situ and pure form of tubular carcinoma with identical cytological and nuclear morphology may be discerned 1, 2. Rosen triad may be encountered which is constituted of tubular carcinoma, lobular carcinoma in situ and columnar cell lesions.
Clinically, tubular carcinoma breast appears as a multifocal or multi-centric neoplasm. An estimated 40% of implicated subjects may depict family history of carcinoma. Generally, neoplasm represents as a preliminary stage disease with stage T1 and N0 1, 2.
Cytological smears appear cellular and tumour cells configure angular, irregular or miniature tubular epithelial cell clusters admixed with disseminated singular epithelial cells. Tumours cells appear bland, demonstrate orderly placement and are admixed with quantifiably variable, prominent myoepithelial cells. Cellular and nuclear atypia is variable.
Evaluation of morphological features of malignant metamorphosis as nuclear atypia, absence of myoepithelial cells and cellular dissociation may be challenging to ascertain upon cytological smears 2, 3. Grossly, neoplasm appears as a spiculated, firm, grey/white, tan or whitish tumefaction which may demonstrate a gritty texture when associated with calcification. Mean tumour magnitude emerges at 1.2 centimetres 3, 4.
Upon microscopy, invasive tubular carcinoma breast configures as a grade I neoplasm and expounds an infiltrative pattern of tumour evolution. Frequently, invasion of tumour cells into circumscribing adipose tissue and fibrous tissue stroma may ensue or a desmoplastic stromal response may be evoked3, 4.
Around > 90% of tumefaction is comprised of miniature, ovoid or angulated tubules demonstrating open lumens. Neoplastic tubules are coated by singular layer of cuboidal to columnar epithelial cells impregnated with uniform, miniature to intermediate, low grade nuclei. Frequently, tumour cells display apical cytoplasmic tufts or snouts. Intraluminal secretion or calcification may be discerned. Neoplastic tubules appear devoid of encompassing myoepithelial cells.
Mitotic activity is minimal. Neoplasm is devoid of significant cytological atypia, multi-layering or enhanced mitotic activity 3, 4. Neoplastic cells appear immune reactive to oestrogen receptors (ER) and immune non reactive to HER2.
Two dimensional microscopic features and three dimensional modelling studies exhibit a neoplastic structure simulating a ‘necklace’ configured of string of beads wherein neoplastic tubules are visualized as blebs with solid cellular cords appearing as intervening bridges. Generally, continuous or branching tubules are absent. Surrounding stroma is desmoplastic or appears fibro-elastotic 3, 4. Frequently, neoplasm represents as non-obligate precursor of lesions as
~columnar cell lesions(~95%), especially flat epithelial atypia
~ atypical ductal hyperplasia
~low grade atypical ductal hyperplasia immune reactive to oestrogen receptors
~Rosen triad comprised of tubular carcinoma, lobular carcinoma in situ and columnar cell lesions.
Ultrastructural examination exhibits focal ductal differentiation. Myoepithelial cells and basement membrane are absent 3, 4. Figure 1
Staging of carcinoma breast as per American Joint Committee on Cancer (AJCC) 8th edition 3, 4. Figure 2
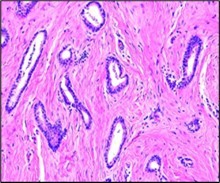
Figure 1.Tubular carcinoma delineating tubules layered by cuboidal to columnar epithelial cells impregnated with miniature to intermediate nuclei, apical snouts and surrounding desmoplastic stroma 7.
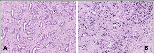
Figure 2.Tubular carcinoma delineating cords and cellular tubules lined by cuboidal to columnar epithelial cells imbued with miniature to intermediate nuclei, apical snouts and surrounding desmoplastic stroma 8.
Primary tumour
TX: Primary tumour cannot be assessed
T0: No evidence of primary tumour
Tis: Tumour appearing as ductal carcinoma in situ, Paget’s disease, encapsulated papillary carcinoma and solid papillary carcinoma
~Tis (DCIS) appearing as ductal carcinoma in situ devoid of invasive carcinoma
~Tis (Paget) appearing as Paget’s disease devoid of invasive carcinoma
T1mi: Tumour ≤ 1 millimetre magnitude
T1a: Tumour > 1 millimetre and ≤ 5 millimetre magnitude
T1b: Tumour > 5 millimetre and ≤ 10 millimetre magnitude
T1c: Tumour > 10 millimetre and ≤ 20 millimetre magnitude
T2: Tumour > 20 millimetre and ≤ 50 millimetre magnitude
T3: Tumour > 50 millimetre magnitude
T4a: Tumour extension into chest wall and devoid of infiltration into pectoralis muscle
T4b: Tumour associated with oedema as peau d'orange, cutaneous ulceration and ipsilateral satellite cutaneous nodules
T4c: Tumour demonstrating features of T4a and T4b
T4d: Tumour demonstrating inflammatory carcinoma which implicates > 1/3 of cutaneous surface of breast and is discerned upon clinical examination
Regional lymph nodes
NX: Regional lymph nodes cannot be assessed
N0: Regional lymph node metastasis absent
N0(i-): Regional lymph node metastasis absent upon histological assessment or immunohistochemistry
N0(i+): Regional lymph nodes depicting isolated tumour cells or a cluster of tumour cells ≤ 0.2 millimetre diameter or < 200 cells
N0(mol+): Regional lymph nodes delineating tumour cells upon reverse transcriptase polymerase chain reaction (RT-PCR) and non discernible upon light microscopy
N1mi: Regional lymph nodes with micro-metastasis or tumour deposit > 0.2 millimetre and ≤ 2.0 millimetre or ≤ 0.2 millimetre and > 200 cells
N1a: Regional lymph node metastasis within one to three 3 axillary lymph nodes with minimally a singular tumour deposit > 2.0 millimetre diameter
N1b: Regional lymph node metastasis into internal mammary sentinel lymph node with tumour deposit > 2.0 millimetre diameter
N1c: is constituted of combined N1a and N1b
N2a: Regional lymph node metastasis into 4 to 9 axillary lymph nodes with minimally a singular tumour deposit > 2.0 millimetre diameter
N2b: Regional lymph node metastasis within clinically palpable internal mammary lymph nodes and axillary lymph nodes devoid of tumour deposits
N3a: Regional lymph node metastasis into ≥ 10 axillary lymph nodes with minimally a singular tumour deposit > 2.0 millimetre magnitude or metastasis into infra-clavicular lymph nodes
N3b: Regional lymph node metastasis into internal mammary lymph nodes as discerned upon imaging and tumour stage appearing as N1a or N1b
N3c: Regional lymph node metastasis into ipsilateral supraclavicular lymph nodes
Distant metastasis (M)
M0: Distant metastasis absent
M1: Distant metastasis present with magnitude of histological tumour deposits > 0.2 millimetres
y: adoption of preoperative radiotherapy or chemotherapy
r: recurrent tumour stage
Tubular carcinoma breast appears immune reactive to oestrogen receptors(ER), progesterone receptors(PR), E-cadherin, CK8 or CK8/18. Tumour cells appear immune non reactive to HER2 (ERBB2), p53 and HER1 or epidermal growth factor receptor(EGFR), p-cadherin, CK5 or CK14. Beside. myoepithelial markers as p63, C10, smooth muscle actin or CK5/6 may be immune non reactive 5, 6. Tubular carcinoma breast requires segregation from neoplasms as sclerosing adenosis, complex sclerosing lesions/ radial scar, microglandular scar, microglandular adenosis, mixed tumours with a combination of tubular carcinoma and a subtype of invasive carcinoma, tubulo-lobular carcinoma, low grade adenosquamous carcinoma or low grade invasive ductal carcinoma of no special type 5, 6. Upon mammography, a discrete or inadequately defined tumour mass with speculated, irregular or well demarcated tumour periphery is observed. Neoplasm is associated with architectural distortion and variable calcification.
Upon ultrasonography, neoplasm represents as a hypoechoic tumefaction with inadequately defined tumour perimeter and posterior acoustic shadowing.
Magnetic resonance imaging (MRI) expounds a tumefaction with comprehensive or focal image enhancement or a non mass neoplasm with image enhancement.
Tubular carcinoma breast may be appropriately ascertained by histological examination of implicated breast tissue 5, 6.
Tubular carcinoma breast may be suitably eradicated by surgical extermination. Contingent to clinical features or cogent surgical procedures, breast conservation surgery with lumpectomy or mastectomy may be beneficially adopted along with or in the absence of radiation therapy 5, 6.
Diagnostic manoeuvers as staging of axillary lymph nodes or sentinel lymph node excision biopsy appear superfluous and may be disregarded.
Tubular carcinoma breast may be subjected to diverse anti-endocrine therapies. Notwithstanding, adjuvant chemotherapy is contraindicated. Well differentiated variant of tubular carcinoma is associated with favourable prognostic outcomes and expresses minimal proportionate tumour reoccurrence and distant metastasis 5, 6.
Neoplasm is associated with extended disease free and breast cancer specific survival, in contrast to grade I invasive ductal carcinoma of no special type (NST).
In contrast to invasive ductal carcinoma, grade I to grade II pure tubular carcinoma is associated with enhanced disease free survival, especially in lesions delineating ≥ 70% tubules, pure grade I tumour cell nuclei and exceptional to absent mitotic figures.
Tubular carcinoma admixed with invasive ductal carcinoma of no special type (NST) is associated with adverse prognostic outcomes.
Tubular carcinoma breast is associated with cause specific survival of ~97% at 10 years. Up to 27% neoplasms exhibit micro-metastasis into regional lymph nodes as axillary nodes and may be associated with favourable prognostic outcomes 5, 6.
References
- 2.Sakhri S, Aloui M, Zemni I. (2023) Pure tubular carcinoma of the breast: a case series. J Med Case Rep. 17-1.
- 3.Shi J, Shi J, Yang S. (2021) Breast tubular carcinoma at parasternal and retro-nipple area. , Medicine 100(11), 24977.
- 4.Chen S L, Zhang W W, Wang J. (2019) The role of axillary lymph node dissection in tubular carcinoma of the breast: a population database study. , Med Sci Monit.; 25, 880-887.
- 5.Emiroglu S, Abuaisha A M, Tukenmez M.Pure Tubular Breast Carcinoma: Clinicopathological Characteristics and Clinical Outcomes. , Eur J Breast Health 19(2), 115-120.
