Peripheral Third Cranial Nerve Palsy in A Patient With Pediatric Form of Multiple Sclerosis
Abstract
Multiple Sclerosis has traditionally been considered an inflammatory and autoimmune disease of the central nervous system. However, peripheral cranial nerve involvement has been described previously in eight cases, raising the hypothesis of a disease spectrum between central and peripheral nervous system. We hereby present a case of a 12 years old girl diagnosed with Multiple Sclerosis who presents with complete unilateral third cranial nerve palsy. Complete clinical, laboratory and radiological work-up was consistent with demyelinating disease. We conclude that demyelination in Multiple Sclerosis can affect in some cases both the central and peripheral nervous system.
Author Contributions
Academic Editor: Ashraf Naeem, Zagazig University, Faculty of medicine, Anatomy and Embryology Department, Egypt.
Checked for plagiarism: Yes
Review by: Single-blind
Copyright © 2024 Abdallah Rahbani, et al
This is an open-access article distributed under the terms of the Creative Commons Attribution License, which permits unrestricted use, distribution, and reproduction in any medium, provided the original author and source are credited.
Competing interests
The authors have declared that no competing interests exist.
Citation:
Introduction
It has always been considered that Multiple Sclerosis (MS) is a chronic inflammatory and autoimmune demyelinating disease of the central nervous system (CNS) 1. However, the involvement of the peripheral nervous system (PNS) has been shown to be associated with MS in different previous studies raising the concept of a possible disease spectrum between PNS and CNS demyelinating diseases 2, 10.
It is common to have an involvement of the brainstem at anytime through the course of the disease in MS. These would usually cause many symptoms including ocular motility problems. However, an isolated inflammation of cranial nerves is very rarely reported in MS 2.
Eight cases of an isolated third cranial nerve palsy have been reported in the English language literature. These had a variable range of symptoms regarding ophthalmoplegia, pupil involvement, ptosis and pain. Magnetic resonance imaging (MRI) was done in 6 cases with 4 cases showing a midbrain lesion and only one case showing an enhancement of the third cranial nerve 2, 3, 4, 5, 6, 7, 8, 9.
We hereby present a case of an isolated complete third cranial nerve palsy in a patient diagnosed with pediatric MS.
Case Report
A 12 years old girl presented acutely with left eye ptosis. She had a mydriatic left pupil along with binocular diplopia. She was diagnosed as having a complete left third cranial nerve palsy.
A year prior to this presentation, she was evaluated for blurred vision in her left eye. She had no previous medical problems then, nor did she have any family history of neurological disease. She was diagnosed at that time to have optic neuritis. Brain and total spine MRI’s were done at that time and demonstrated the presence of multiple lesions of demyelinating nature. These lesions were more consistent with Multiple Sclerosis. Visually evoked potentials and Somatosensory evoked potentials were also abnormal. Anti-Aquaporin 4 along and all the autoimmune work-up were negative. Lumbar puncture done at that time showed a high IgG index and the presence of oligoclonal bands. The patient received high doses of methylprednisolone intravenously with total resolution of the symptoms.
She was followed with brain and spine MRIs over several months after which she was considered to have a pediatric form of Mutiple Sclerosis. For this reason she was started on weekly intramuscular injections of interferon Beta 1a.
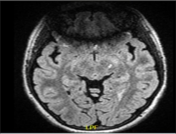
She was doing very well on treatment, until this presentation, when she presented acutely with left third cranial nerve palsy. Due to this atypical presentation MRI with MR angiogram (MRA) of the brain were performed with additional thin cuts over the exit of the third cranial nerve and showed no evidence of any aneurismal lesion or a mass lesion. However, there was an increase in the size of a previously present left midbrain lesion (See Figure 1).
Figure 1.showing a left midbrain demyelinating lesion on a fluid attenuated inversion recovery (FLAIR) image. To note, there is an artifact anteriorly because of the presence of teeth orthodontics.
This was considered as being a rare and very atypical presentation of multiple sclerosis and the patient received a course of steroids with full recovery within 4 weeks.
Discussion
The above mentioned case supports previous case reports that showed a cranial nerve involvement in MS. It has been shown, for example, in a review of 1278 cases of third, fourth and sixth cranial nerve palsies that 40 cases had MS. This is in addition to the 8 cases reports of an associated MS with a third cranial nerve palsy.
These rare cases of an associated peripheral and central nervous system involvement in MS suggest a possible common target for immune response between CNS and PNS in this subset of patients.
On the other hand, some studies showed a central nervous system involvement in patients having an inflammatory demyelinating polyneuropathy 2.
This would also raise the question about molecular similarities between the targets of immune cell response in MS and peripheral neuropathies, i.e. between the central and the peripheral nervous system myelin.
Conclusion
Peripheral nervous system involvement in MS is a very rare occurrence that should be recognized and investigated further for the underlying pathophysiology. This would highlight the question of whether it would be considered a distinct disease entity involving both peripheral and central nervous systems myelin.
Funding
The author(s) disclosed no financial support for this publication.
References
- 1.Kalman B, Lublin F D. (2001) Spectrum and classification of inflammatory demyelinating diseases of the central nervous system. Curr Neurol Neurosci Rep. 1, 249-256.
- 2.M Tariq Bhatti. (2003) Peripheral Third Cranial Nerve Enhancement in Multiple Sclerosis. , Am J Neuroradiol 24, 1390-1395.
- 3.Dessai H B, Macfadyen D J. (1987) Multiple sclerosis presenting as third nerve palsy. , Can J Neurol Sci 14, 178-179.
- 4.Uitti R J, Rajput A H. (1986) Multiple Sclerosis presenting as isolated oculomotor nerve palsy. , Can J Neurol Sci 13, 270-272.
- 5.Galer B S, Lipton R B, Weinstein S. (1990) Apoplectic headache and oculomotor nerve palsy: an unusual presentation of multiple sclerosis. Neurology. 40, 1465-1466.
- 6.ksaizek S M. (1989) Divisional oculomotor nerve paresis caused by intrinsic brainstem disease. , Ann Neurol 26, 714-718.
- 8.Lee A G, Tang R A. (2000) Isolated inferior rectus muscle palsy resulting from a nuclear third nerve lesion as the initial manifestation of multiple sclerosis. J Neuro ophthal mol. 20, 246247.
