Intercoronary Continuity with Bidirectional Flow: Dynamic Changes Parallel to Coronary Disease Progression
Abstract
Direct intercoronary continuity is a rare angiographic finding. We report an unusual case of a 51-year old male with coronary disease who demonstrated intermittent variability in the directions of flow as a result of changes in his coronary disease.
Author Contributions
Academic Editor: Leibundgut G, Klinik für Kardiologie und Angiologie II, Unversitäts-Herzzentrum Freiburg, Bad Krozingen,
Checked for plagiarism: Yes
Review by: Single-blind
Copyright © 2014 JM Weinstein, et al.
This is an open-access article distributed under the terms of the Creative Commons Attribution License, which permits unrestricted use, distribution, and reproduction in any medium, provided the original author and source are credited.
Competing interests
The authors have declared that no competing interests exist.
Citation:
Introduction
Direct continuity between coronary arteries is a rare congenital finding, occurring in about 0.02% of cases, based on pathological or angiographic studies 1. This entity is distinct from collateral coronary vessels, which develop gradually in the presence of obstructive coronary disease.
Case Report
A 51-year old male with a history of diabetes mellitus, hypertension and dyslipidaemia was hospitalized with a typical clinical history of unstable angina that had recently appeared. He underwent coronary angiography and was found to have single vessel disease, with a significant stenosis in the proximal segment of his right coronary artery (RCA). Angioplasty was performed, with the successful implantation of a bare metal stent and the patient was discharged in good health.
Six months later he was readmitted. He had started to experience mild exercise-induced chest pains several weeks following his previous procedure and these had continued intermittently, culminating in a more prolonged episode associated with ST segment elevation in his electrocardiogram (ECG). These ECG changes had resolved by the time he was hospitalized.
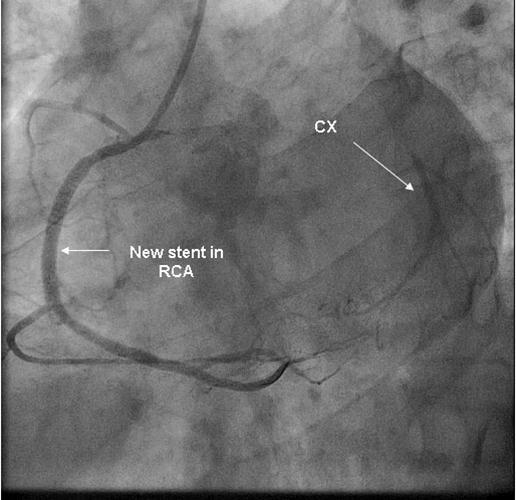
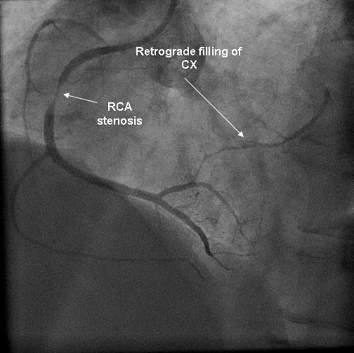
Coronary angiography was again performed. On injections into the left system, collaterals to the distal RCA were demonstrated (figure 1), arising from the left circumflex coronary artery (CX). Injections into the RCA demonstrated tight in-stent restenosis, (figure 2) and a drug eluting stent was successfully implanted. After the angioplasty, injections into the RCA were seen to retrogradely fill the CX (figure 3). The suspicion arose that maybe the left coronary artery had been inadvertently damaged during angiography, so the left coronary was again cannulated and injections performed, demonstrating entirely normal left main and CX arteries. However, the collateral flow that had previously been demonstrated from the CX to the RCA was no longer apparent. On review of the previous angiogram, it was noted that the RCA retrogradely filled the CX despite the original significant stenosis (figure 4). In essence, it became apparent that the bidirectional filling of the RCA from the CX and vice versa was in fact a direct continuity between the vessels and not collaterals, as free flow was noted from the RCA to the CX even when both arteries were completely patent.
Figure 1.Collateral flow from circumflex artery (CX) to right coronary artery (RCA) in cranial left anterior oblique view.
Figure 2.Instent restenosis in proximal RCA
Figure 3.New stent in RCA with retrograde filling of CX
Figure 4.Injection into the RCA in the first angiogram, with retrograde filling of CX.
Discussion
Based on pathological and angiographic studies, two different types of anastomoses between coronary vessels have been described: collateral vessels and intercoronary continuity. The true incidence of the latter is not known, but several large surveys have shown an incidence of about 0.02%. 1.
The two types of vessels can be differentiated in different ways. Firstly, from an angiographic point of view, collaterals vessels are generally smaller in diameter (<1 mm), more tortuous in their course and obviously develop only in the presence of obstructive coronary disease. Interarterial continuity, on the other hand, is characterized by vessels usually larger in diameter (>1 mm), straighter or only slightly curved, and have been described in the presence of normal coronary vessels and in patients with obstructive coronary disease 2.
From a histological point of view, collateral vessels are similar to arterioles: made of endothelium supported by poorly organized collagen, elastic and muscle fibres. In contrast, the vessels involved in interarterial continuity have a well defined muscle layer as found in normal epicardial arteries. This reflects their probable congenital origin, as a result of persistence of a foetal pattern of the coronary circulation 3.
This is supported by the finding that two variants have been described. The first is a communication between the CX and the RCA in the posterior atrioventricular groove (as in our patient), and the second is a communication between the left anterior descending (LAD) and posterior descending (PDA) arteries in the distal part of the posterior interventricular groove 4.
These vessels of interarterial continuity have been described in patients with obstructive coronary disease and in patients with anatomically normal coronary arteries 4.
There are a few interesting points about our patient's case. He demonstrated dynamic changes in the direction of coronary flow, in parallel to the development of a stenotic lesion. Firstly, in the original angiogram, there was flow from the RCA to the CX even though there was a significant stenosis. In his second angiogram, however, no such flow was demonstrated, maybe due to the longer and more critical restenosis that had developed in the stent. Secondly, at the start of both angiograms, there was flow from the CX to RCA, an appropriate finding as a collateral vessel in the presence of an obstructive lesion in the RCA. Thirdly, it seems that when both arteries are fully patent, the bidirectional flow changes to unidirectional, from the RCA to the CX.
This finding tides in with Fournier's review 4 of 15 cases in the literature. In these patients, the flow was either bidirectional or unidirectional, but there was always flow from the RCA to the left coronary artery.
The final point of note is a clinical one. Our patient developed unstable angina despite the presence of an apparently adequate collateral flow from the CX, suggesting that the small calibre of the vessel may have been insufficient to maintain an appropriate flow. This observation is in keeping with other case reports. For example, Donaldson 3 reported a patient with a transmural inferior wall MI despite the presence of a direct continuity between the LAD and PDA. Gur et al 5 described a patient with stable angina and an ischaemic response on exercise ECG despite the absence of occlusive coronary disease on angiography and the presence of a direct continuity between the CX and RCA. Their patient also demonstrated unidirectional flow from the RCA to the CX, and they suggested that this continuity vessel may be responsible for a "steal" phenomenon, explaining the ischaemic findings. Abu-Ful et al 6 reported a patient with recurrent chest pain and a normal thallium scan who was found on angiography to have a totally occluded proximal LAD filling via direct continuity from the PDA. Thus the postulation that these continuity vessels may play a protective role if occlusive coronary disease develops 7 doesn't seem to be necessarily true.
Conclusion
This rare angiographic finding that we have described demonstrates the very dynamic nature of coronary flow, influenced by sometimes gross and sometimes subtle changes in the anatomy of the vessels.
References
- 1.Ahmed W, Umana E, Jack P. (2001) Intercoronary Communications In The Absence Of Obstructive Coronary Artery Disease: A Rare Entity. , The Internet Journal of Cardiology.1(2)
- 2.Hines B A, PWT Brandt, Agnew T M. (1981) Unusual Intercoronary Artery Communication: A case report.Cardiovasc Intervent Radiol. 4, 259-263.
- 3.Donaldson R F, Isner J M. (1984) Intercoronary Continuity: An Anatomic Basis for Bidirectional Coronary BloodFlow Distinct from Coronary Collaterals. , Am J Cardiol 53, 351-352.
- 4.Juan A Fournier, Cortacero José A P F, Llera Luis Díaz de la, Sánchez Ángel, Arana Eduardo et al. (2003) Morán: Distal Intercoronary Communication. A Case Report and Medical Literature Review. Rev Esp Cardiol2003;56(10):. 1026-8.
- 5.Gur M, Yilmaz R, Demirbag R.Unidirectional communication between the circumflex and right coronary arteries: a very rare coronary anomaly and cause of ischemia. , Int J Cardiovasc Imaging.2006Jun-Aug;22(3-4): 339-42.
