A Case of Pernio Associated with Cold Agglutinin Positivity in an Unusual Location
Abstract
Pernio is an inflammatory disease that is usually characterized by the development of cold-induced erythrocyanotic skin lesions located in acral regions. Diagnosis is difficult if lesions are present in rare locations. A 21-year-old female suffering from fatigue presented with a 4-day history of painful, purple lesions on both thighs. She worked as a cashier, wore tight clothing, and was otherwise healthy except for mild obesity. Dermatological examination revealed tender and painful edematous papules and plaques on the outer aspects of her thighs. The patient was diagnosed with pernio based on her medical history, and clinical and histological findings. Laboratory tests were normal except for her cold agglutinin titer (1:4). Pernio rarely occurs on the thigh, except in people who ride horses. However, it sometimes occurs in non-riders depending on lifestyle and environmental conditions. Therefore, lesions in this region must be confirmed by a thorough medical history and evaluation of clinical and histopathological findings. Cold agglutinins may be associated with this disease.
Author Contributions
Academic Editor: Pavel Chernyshov, National Medical University
Checked for plagiarism: Yes
Review by: Single-blind
Copyright © 2016 Müzeyyen Gönül, et al.
This is an open-access article distributed under the terms of the Creative Commons Attribution License, which permits unrestricted use, distribution, and reproduction in any medium, provided the original author and source are credited.
Competing interests
The authors have declared that no competing interests exist.
Citation:
Introduction
Pernio is an inflammatory disease caused by exposure to cold and humid weather, resulting in an abnormal vascular reaction to the cold environment 1. Clinically, erythematous-to-violaceous, edematous, pruritic macules, and infiltrated papules or plaques usually appear on acral regions such as dorsal aspects of the hand, foot, ear, and nose 2, 4. Pernio rarely occurs on the thigh except in horse riders, who are susceptible to rider’s pernio, a rare form of the disease that affects the thigh and gluteal regions 2, 3. There are a few cases of rider’s pernio associated with cold agglutinins in the literature.
Case Study
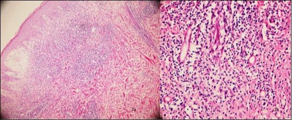
A 21-year-old female suffering from fatigue presented with a 4-day history of painful and violaceous lesions on both thighs. She worked as a cashier, wore tight clothing, and was otherwise healthy except for mild obesity. A physical examination revealed violaceous, edematous, and tender papules and plaques on the anterolateral aspects of her thighs (Figure 1). Multiple biopsies were performed. Histopathology revealed a normal epidermis, edema in the papillary dermis, a prominent periadnexal, perivascular lymphocytic infiltrate in the dermis, and edema on the vessel walls (Figure 2). The patient was diagnosed with pernio based on her medical history, and clinical and histological findings. Her hemogram, liver and renal function tests, urine analysis, erythrocyte sedimentation rate, C-reactive protein, serum protein electrophoresis, antinuclear and anti-dsDNA antibodies, rheumatoid factor, serum complements and immunoglobulins, anticardiolipin IgG/IgM antibodies, anti-Sm/RNP, anti-Ro/SS-A, anti-La/SS-B autoantibodies, cryoglobulins and cryofibrinogen levels were normal. Hepatitis B surface antigen, anti-hepatitis C antibody, anti-human immunodeficiency virus antibody, and VDRL tests were all negative. Her cold agglutinin titer (1:4) test was positive and her pulmonary roentgenogram was normal. Protection from cold was advised and she was treated with topical mometasone furoate 0.1%. Her symptoms and the lesions almost cleared after 2 weeks.
Figure 1.Erythematous-to-violaceous, edematous, inflammatory, and tender papules and plaques on both thighs
Figure 2.(a) Edema in papillary dermis, a superficial and deep perivascular and periadnexal lymphocytic infiltrate(H&E X100) (b) intense perivascular lymphocytic infiltrate and edema on vessel walls(H&E X200)
Discussion
Pernio is a condition characterized by the development of cold-induced erythrocyanotic skin lesions that usually occur symmetrically on acral areas, but are rarely seen on the thighs and gluteal regions of young females. Although horse riders are frequently affected, females who are obese and wear tight clothes may also be affected, particularly when exposed to the cold 2, 3. The theories of pernio pathogenesis include abnormal vasoconstriction, vasospasm, hyperviscous conditions, and autoimmunity 5. This condition may be idiopathic (primary) or secondary to an underlying disease 1. A total of 20–40% of cases are associated with diseases such as systemic lupus erythematosis, Behçet disease, antiphospholipid syndrome, cryoglobulinemia, cryofibrinogenemia, cold agglutinin disease, macroglobulinemia, chronic myelomonocytic leukemia, metastatic breast cancer, Aicardi-Goutieres syndrome, and anorexia nervosa 7. In the present case, cold agglutinins were positive in low titer (1:4).
Cold agglutinin disease is a form of autoimmune hemolytic anemia, caused by cold-reacting autoantibodies 8. Cold agglutinins are autoantibodies to erythrocytes and may be found in normal individuals. Although their clinical importance usually depends on titers and thermal amplitude, in low titer, they may cause peripheral vascular diseases such as livedo reticularis and acrocyanosis when exposed to cold conditions 9. There are reported cases of rider’s pernio with cold agglutinin, and a possible correlation between the titer and severity of the symptoms has been speculated 8. Cold agglutinins may result from infections and myeloproliferative disorders 8; however, this was not the case in this study. We believe that the cold agglutinins may have caused the pernio in our case, and that the mild symptoms were due to its low titer.
Pernio is often diagnosed based on history and clinical findings, but a biopsy may be necessary when the lesions occur in rare locations. On histopathology, edema in papillary dermis, a superficial and deep perivascular and periadnexal lymphocytic infiltrate, and edema of vessel walls were seen. Lymphocytic vasculitis may also be present 10, as was evident in our case. Çakmak et al. 4 found that 38% of patients with pernio in Turkey had been working in grocery stores, and most likely developed this condition because of the cold environment or as a result of inappropriate climate conditions in some groceries. Another study from Turkey revealed that 37% of patients with pernio had been working as sales persons in shopping centers, and 16% of them had been working as cashiers in grocery stores 6, similar to our patient. Keeping acral areas warm and dry by wearing gloves and socks and not wearing tight clothes will help prevent this disorder 10. Idiopathic pernio usually responds well to topical corticosteroids 2. Nifedipine, amlodipine, nicotinamide, ultraviolet B therapy, or symphatectomy are other treatment options 10. Our patient was treated with topical mometasone furoate 0.1% cream, and the lesions almost completely disappeared after 2 weeks.
In conclusion, pernio rarely occurs on the thighs. However, tender or painful papules, plaques, or nodules located on the thigh need to be evaluated. Obesity, clothing style, and a patient’s occupation should lead to suspicion of this disease, and in such cases, a biopsy should be performed. In addition, cold agglutinins may be associated with this disease.
References
- 1.Akkurt Z M, Ucmak D, Yildiz K. (2014) Chilblains in Turkey: a case-control study. An Bras Dermatol. 89, 44-50.
- 3.Weismann K, Larsen F G. (2006) Pernio of the hips in young girls wearing tight-fitting jeans with a low waistband. Acta Derm Venereol. 86, 558-9.
- 4.Külcü Çakmak S, Gönül M, Oğuz I D. (2013) Demographical, laboratory and associated findings in patients with perniosis. J Eur Acad Dermatol Venereol. 12199.
- 5.Yang X, Perez O A, English JC 3rd. (2010) Adult perniosis and cryoglobulinemia: a retrospective study and review of the literature. , J Am Acad Dermatol 62, 21-2.
- 6.Takci Z, Vahaboglu G, Eksioglu H. (2012) Epidemiological patterns of perniosis, and its association with systemic disorder. , Clin Exp Dermatol 37, 844-9.
- 7.Lutz V, Cribier B, Lipsker D. (2010) Chilblains and antiphospholipid antibodies: report of four cases and review of the literature. , Br J Dermatol 163, 645-6.
- 8.Şirin B H, Keskin A, Baltalarlı A. (2000) Warm Heart Surgery in a Case with Cold Agglutinins. , Arch Turk Soc Cardiol 28, 509-511.
Cited by (2)
This article has been cited by 2 scholarly works according to:
Citing Articles:
S. Dubey, Nilay Joshi, O. Stevenson, C. Gordon, J. Reynolds - Rheumatology (2022) Semantic Scholar
