Modified Direct Transfer Coping Technique for Making Impression of Closely Placed Implants
Abstract
The main purpose of the impression is to record and transfer the relationship between implants and to reproduce this relationship as accurately as possible. But, Unplanned placement of the implants may result in close approximation of the implants, thereby posing tough challenge to the restorative dentist, to first accurately record the impression and later on fabricate the prosthesis with satisfactory esthetics and function. This article presents a modified direct impression coping procedure for precise making of impression of closely placed implants which otherwise may be difficult to replicate the exact position of the implants by conventional direct or indirect technique.
Author Contributions
Academic Editor: Brian Muzyka, East Carolina University School of Dental Medicine.
Checked for plagiarism: Yes
Review by: Single-blind
Copyright © 2019 Kunwarjeet Singh, et al.
This is an open-access article distributed under the terms of the Creative Commons Attribution License, which permits unrestricted use, distribution, and reproduction in any medium, provided the original author and source are credited.
Competing interests
The authors have declared that no competing interests exist.
Citation:
Introduction
The passive fit of the implant components is very critical for the long term success of the implant restorations1 Component failure or biologic complications2 may occur due to poor fit. So, careful performance of each and every laboratory and clinical step is important to minimize the positional discrepancies.
Unplanned implant placement or change in angulations of the implants due to anatomic limitations3,4 such as mandibular canal, mental foramen, nasal floor, sinus cavities or roots of the adjacent teeth, might result in close approximation of the implants (Figure 1), which poses tough challenges to the restorative dentist, who have to overcome certain technical difficulties for the fabrication of the prosthesis including making of a proper impression.
Figure 1.Radiograph – closely positioned implants.
Direct impression coping (open tray) technique is usually preferred over indirect impression coping (close tray) technique for making an accurate Impression of the implants. But most of the direct impression coping supplied by the manufacturer are bulky in upper part which may preclude the accurate seating of the impression coping to the respective implants, thereby resulting in an inaccurate replication of position of the implants on the cast. The fabrication of an accurate passive fit prosthesis from such an impression is not possible, which requires lot of adjustments during seating of the prosthesis and also create associated soft tissue problems.
For the fabrication of accurately fit implant supported prosthesis for the closely placed implants, a precise registration of the position of the implants is important. Due to insufficient space, the direct transfer copings do not fit precisely over the implants, which requires the modification of one or both transfer copings. This article describes a modified direct impression coping technique to overcome the difficulties associated in making an impression in such conditions.
Impression Procedure
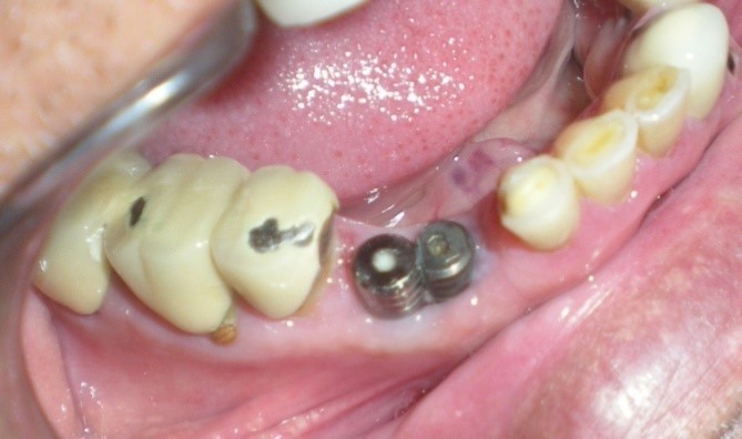
Healing abutments were cleaned and removed from mouth (Figure 2) and placed in a disinfecting solution. Direct impression coping (AlphaBio, Israel) was on one of the implants (SPI, AlphaBio, Israel) and secure it with long connecting screw (Figure 3).
Figure 2.Modified healing abutment in position.
Figure 3.Modified impression copings in proper position.
The other impression coping was modified by holding it with artery forcep and cut it with carborundum disc so that it fits properly over the other implant. After modification, it was secured with long connecting/fastening screw to the respective implant. the complete seating of the impression copings was verified with a periapical radiograph.
Insufficient space between two impression copings, preclude the flow of impression material between them, which may lead to movement of the impression coping resulting in an inaccurate impression. To overcome this, the two impression copings were connected with auto polymerizing acrylic resin (Figure 4, Rapid Repair acrylic resin. DPI, India)
Figure 4.Modified impression copings splinted with unmodified coping with autopolymerizing acrylic resin.
A plastic stock tray which can be used for making impression of the partially edentulous patients was selected. An access window (Figure 5) was created directly over the impression copings with the carbide trimming bur. The window must be wide enough to ensure proper space between tray and coping for impression material, so that impression copings get properly engaged in impression without any movement, which is very important for the passive fit of the prosthesis.
Figure 5.Plastic stock tray with access window over the copings.
The tray adhesive was applied all over the tray and allowed to dry for 10 minutes. The putty (Aquasil soft putty/regular set; Dentsply, Germany) and light body (Aquasil LV, Dentsply, Germany) consistency of the polyvinyl siloxane impression material was used for making impression by single step putty wash technique. Make sure that more than 3mm of connecting screw should be remain exposed through the access window for easy retrieval. Once the impression material was clinically set, open the connecting screw with the hex driver from the modified and unmodified direct impression copings. Remove and disinfect the impression.
Attach the implant analogue (IA Implant analogue, AlphaBio, Israel) to the respective copings with long connecting screw. Verify the accuracy of the impression by checking the movement of the impression coping by holding with tweezer (Figure 6). If any movement of the analogue-coping assembly occurs, impression should be repeated again.
Figure 6.Check the movement of impression coping by holding with tweezer.
The separator spray (Detax, Germany) was applied around the impression copings (Figure 7) before the application of artificial gingiva (Esthetic mask, Detax, Germany) for easy separation of artificial gingiva from impression material as both are silicones. The artificial gingiva was applied around impression copings and the impression was poured with type IV gypsum product ((Kalstone; Kalabhai Karson Pvt. Ltd. India) to obtain the master cast (Figure 8), which, with a soft tissue gingival mask, will allow the restorative dentist and technician to choose the ideal abutment and technique for the case. Further , the accuracy of the impression was verified with verification jig. the verification jig should fit passively on the cast as well as in patient mouth. After verification jig trial, the prosthesis (two joined PFM crowns, Figure 9 and Figure 10) was fabricated over two modified castable UCLA abutments (PLA-R straight plastic abutments, AlphaBio, Israel). The final prosthesis was cemented with chemical cure resin cement.
Figure 7.Application of separating spray
Figure 8.Master cast with artificial gingiva
Figure 9.Radiograph verifying the fit of the abutment
Discussion
The passive fit of implant prosthesis is very important to prevent long-term biological and prosthetic complications. If framework is not passive , it might increases stresses at crest of bone resulting in crestal bone loss which further results in increase in gap between abutment and implant. This gap favours the microbial growth thereby further complicating the periodontal problems surrounding the implant. Also the continue stress on the implant body and connecting screw due to improper fit of abutment and implant might result in loosening and fracture of connecting screw, fracture of implant or prosthesis. So fabrication of a passive framework is very important which need the precise clinical and laboratory steps. The impression should be made with dimensional stable silicone or polyether impression material by direct or indirect technique, impression should be poured in type IV gypsum product (setting expansion 0.1%), was pattern should be handled carefully and invested immediately, type of alloy used for fabrication of prosthesis ( precious or semiprecious alloys are preferred as compare to base metal alloys as base metal alloy are subjected to more casting shrinkage there by effecting the passive fit of the prosthesis) is very important. The final passive fit of prosthesis can be evaluated with radiograph.
The first step in the fabrication of an accurate and passive fit prosthesis is reproduction of an accurate internal relationship of implants with an impression5,6 . The accurate registration of implant position may be not possible by conventional impression techniques in case of closely placed implants. The modified direct impression coping technique offers a easy and precise procedure for making impression in such situations. This technique just requires the modification of impression copings. It does not require any additional component such as frictional fit plastic implant index copings or gold cylinders7,8 required in case of implants with adverse angulations.
Due to close approximation, usually insufficient space is present between two copings as a result of which impression material does not flow in between two copings, may result in change in position of the impression copings. So splinting of two copings with acrylic resin is required to prevent any change in position.
Conclusion
For the fabrication of precise and passive fit implant prosthesis, an accurate replication of position of implants is very important, which may be difficult by conventional impression techniques in case of closely placed implants. The modified direct impression coping procedure offers better alternative to overcome the difficulties associated in such clinical situations.
References
- 1.Gregory B, LaBarre E. (1999) Two-step pick-up impression procedure for implant-retained overdentures. , J Prosthet Dent 11, 615-17.
- 2.Wee A G, Aquilino S A, Schneider R L. (1999) Strategies to achieve fit in implant prosthodontics: a review of the literature. , Int J Prosthodont 12, 167-78.
- 3.Naert I, D van Steenberghe, Worthington P, editors. (1994) Osseointegration in oral rehabilitation: an I ntroductory textbook. , Chicago: Quintessence; 183-4.
- 4.Margelos J T, Verdelis K G. (1995) Irreversible pulpal damage of teeth adjacent to recently placed osseointegrated implants. , J Endod 21, 479-82.
- 5.Barrett M G, de Rijk WG, Burgess J O. (1993) The accuracy of six impression techniques for osseointegrated implants. , J Prosthodont 2, 75-82.
- 6.Assif D, Marshak B, Schmidt A. (1996) Accuracy of implant impression techniques. , Int J Oral Maxillofac Implants 11, 216-22.

