The Location and Diameter of the Primary Maxillary Sinus Ostium in Malaysians: A Cone-Beam Computerized Tomography Study
Abstract
Rhinosinusitis is one of widely spread diseases in the region and the role of the anatomical variations in its pathogenesis remains unresolved. A retrospective study using CBCT scan was employed to locate and measure the diameter of 320 primary maxillary ostium (PMO) (n = 160 subjects) among the Malay and Chinese populations (Mongoloid race) in Malaysia. Image analysis was performed using the i-CAT Vision Software, employing the multiplanar reconstruction window in which axial, coronal and sagittal planes were visualized in 0.3 mm intervals. The mean diameter of the PMO was significantly larger in the Chinese than the Malay. Females had larger size than the male and bilateral asymmetry was noticed, where the right side PMO was larger than the left side (p < 0.05). In addition, PMO opened more in the posterior third position of the hiatus semilunaris (61.9%) than anterior and middle third. The PMO showed a statistically significant posteriorly placed position in the Chinese than the Malays and this was more evident in the right side PMO (p < 0.01). In conclusion, the PMO commonly opens in the posterior third of the hiatus semilunaris and its diameter is significantly greater in the Chinese female with evidence of bilateral asymmetry. Awareness the anatomical variation of the Ostium diameter and location among the Malay and Chinese populations potentially has important clinical effects during surgical procedures.
Author Contributions
Academic Editor: Hongwei Mo, Harbin Engineering University, Harbin 150001, China
Checked for plagiarism: Yes
Review by: Single-blind
Copyright © 2020 Sanual S Peter, et al.
This is an open-access article distributed under the terms of the Creative Commons Attribution License, which permits unrestricted use, distribution, and reproduction in any medium, provided the original author and source are credited.
Competing interests
The authors declare that they have no conflict of interest.
Citation:
Introduction
Chronic rhinosinusitis (CRS) is a relevant and prevalent medical condition in the world 1. In Malaysia, the estimated prevalence rate of sinusitis is roughly 12.8%, thereby suggesting that about 3 million Malaysians are suffering from CRS at one given time 2. Rhinosinusitis is one of the widely spread disease in the region, however the role of the anatomical variants in its pathogenesis remains unclear 3. Evolution can be partly blamed as it resulted in men attaining an erect posture, and shifting the primary maxillary ostium to a higher position. Thereafter, drainage of the sinus was no longer due to gravity. All these factor cause mucociliary dysfunction which in turn led to the obstruction of the ostium that opens into the hiatus semilunaris 4.
Since its inception 30 years ago, Functional Endoscopic Sinus Surgery (FESS) is now the treatment of choice for chronic sinusitis. The main objectives of FESS are to restore osteal patency and help mucociliary drainage 5. However, locating the natural ostium of the maxillary sinus can prove challenging 6. This can be due to the anatomic variations of the uncinate process, bulla ethmoidalis and the size of the ostium itself 7.
Thus far, there has been limited studies on the location of the maxillary sinus ostium using Computed Tomography 8. There have been no researches concerning location and diameter of the primary maxillary ostium (PMO) among the Malaysian population, namely the Malay and Chinese ethnicities who have a Mongoloid ancestry. Retrospective study on Cone-Beam computed Tomography (CBCT) maxillary sinus scans of these ethnicities have been investigated to determine the following factors; presence, location and size of the PMO in the study images.
Materials and Methods
Ethical Approval
This study was approved by Institutional Medical Ethics Committee, Faculty of Dentistry, University of Malaya (Ref. No. DF OS1625/0075(P)).
Study Design
Volumetric data of 160 patients consisting of 80 Malays (40 males, 40 females) and 80 Chinese (40 males, 40 females) who had been referred to the Oral and Maxillofacial Imaging Division, Faculty of Dentistry, University Malaya, Kuala Lumpur for various dental pathologies that required CBCT examination was selected. Bilateral maxillary sinuses (n = 320 maxillary sinuses) were retrospectively reviewed to identify location and diameter of primary maxillary ostium specific to each ethnic population. Inclusion criteria were as follows: Male/female of Malay and Chinese ethnicity; aged between 18-85 years; CBCT scanned images showing complete maxillary sinus including the osteomeatal complex. Exclusion criteria were as follows: Patients with polypoidal and other expansive lesions; scans that displayed poor image quality.
The maxillofacial CBCT examination was performed using i-CAT cone beam computed tomography (Imaging Sciences International, Hatfield, PA, USA) with tomography specifications of Tube Potential (Kv) 120, Current (mA) 5, Voxel Size (mm) 0.3 and scan time (s) 20-40 (Figure 1). Image analysis was performed using the i-CAT Vision Software, employing the multiplanar reconstruction (MPR) window in which axial, coronal and sagittal planes were visualized in 0.3mm intervals.
Measurements
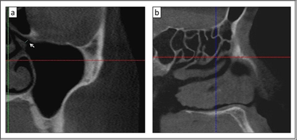
To ensure the accuracy of the anatomical structures depictions, all CBCT examinations were reviewed by a trained oral and maxillofacial radiologist before and after the measurements. The location of the primary maxillary ostium along the course of the hiatus semilunaris was identified. Subsequently, the maxillary sinus ostium diameter (mm) was measured from the inferior uncinate process to the superior lower bony portion of the ethmoidal sinus in the coronal view (Figure 2a). The diameter was measured three times and subsequently the averaged reading was calculated to ensure reproducibility and reduce any subjective bias. The data was recorded and classified according to the ethnic groups and their gender.
Thereafter, the location of maxillary sinus ostium was determined, it was marked with the horizontal and vertical axis lines in the coronal section (Figure 2a). When the sagittal section window was reviewed, the position of the point/marking was determined along the hiatus semilunaris (Figure 2b). The position of the primary maxillary sinus ostium at the hiatus semilunaris were recorded and classified as being in the anterior third, middle third or posterior third of this hiatus. The hiatus semilunaris is interpreted as the opening between the anterior surface of the bulla ethmoidalis and the free edge of the uncinate process 9.
Figure 2.a) Measurement of the primary maxillary ostium between the lower bony part of ethmoid and the uncinate process (white arrow); b) Location of the primary maxillary ostium in the coronal section (a) which is observed in the sagittal section (crosshair lines)
Statistical Analysis
The data analysis was done using Statistical Package for Social Science (SPSS) statistical software (Version 12.0; SPSS Inc., Chicago, Illinois, USA). Independent t-test was performed for comparing the dimeter of the ostium between the two ethnicity groups and between the gender group. The significance value was set at (p < 0.05).
The data were transferred and subjected to descriptive analysis, to find the correlation between the location of the ostium along the hiatus semilunaris and the ethnic group, and also between the location of the ostium and the gender group using Pearson’s Correlation coefficient. The significance was set at the 0.01 level (2-tailed).
Results
In this study, the mean diameter of the PMO amongst those with Mongoloid ancestry in Malaysia was 1.92 mm ± 0.54. In addition, the mean diameter of the PMO was significantly (P = 0.019) greater in female (2.03mm ± 0.49) than the males (1.83 mm ± 0.56). By ethnicity, Chinese has greater ostium diameter (2.11mm ± 0.55) than the Malays (1.75mm ± 0.46) (p = 0.01). Interestingly, there was a significant difference in the mean diameter of the PMO bilaterally where the right side of PMO revealed greater diameter than the left side in both gender and ethnicity (Table 1).
Table 1. Mean diameter comparison of the primary maxillary ostium between genders, ethnicities and sides (n=320)| Right PMO | Left PMO | Bilateral PMO | ∗p Value | |
| Mean (SD) mm | Mean (SD) mm | Mean (SD) mm | ||
| Gender: | ||||
| Male (n=160) | 1.88 (0.69) | 1.77 (0.62) | 1.83 (0.57) | 0.019 |
| Female (n=160) | 2.04 (0.57) | 2.01 (0.61) | 2.03 (0.49) | |
| Ethnicity: | ||||
| Malay (n=160) | 1.79 (0.58) | 1.70 (0.55) | 1.75 (0.46) | 0.01 |
| Chinese (n=160) | 2.13 (0.64) | 2.07 (0.64) | 2.11 (0.55) | |
| PMO Over All | Mean (mm) | SD (mm) | ||
| Diameter of Right PMO (n=160) | 1.96 | 0.63 | ||
| Diameter of Left PMO (n=160) | 1.89 | 0.62 | ||
| Average Diameter of PMO (both sides) (n=320) | 1.92 | 0.54 |
The finding showed that the PMO most commonly opened in the posterior third location of the hiatus semilunaris in both male (n (%) = 102 (63.8)) and female (n (%) = 96 (60.0)) population. This position was also noticed in ethnic Malays (n (%) = 83 (51.9)) and Chinese (n (%) = 115 (71.9)). This was followed by anterior third position and lastly the middle third position. The comparison of the location of the PMO between the Malays and Chinese population showed a statistically significant result (p < 0.01; X2 = 20.44); the PMO in the Chinese is more frequently located in the posterior third position compared to the Malays. A comparison between the sides also showed statistically significant difference (p < 0.01; X2 = 15.23), with the right PMO frequently located in the posterior third position (Table 2).
Table 2. Locations of the primary maxillary ostium (both sides) along the hiatus semilunaris (n=320)| Variable | Anterior 1/3 | Middle 1/3 | Posterior 1/3 | X 2 value | P value∗ |
|---|---|---|---|---|---|
| n (%) | n (%) | n (%) | |||
| Gender: | |||||
| Male (n=160) | 33 (20.6) | 25 (15.6) | 102 (63.8) | 3.96 | 0.14 |
| Female (n=160) | 30 (18.8) | 34 (21.3) | 96 (60.0) | ||
| Ethnicity: | |||||
| Malays (n=160) | 47 (29.4) | 30 (18.8) | 83 (51.9) | 20.44 | 0.05 |
| Chinese (n=160) | 16 (10.0) | 29 (18.1) | 115 (71.9) | ||
| Sides: | |||||
| Right (n=160) | 23 (14.4) | 21 (13.1) | 116 (72.5) | 15.32 | 0.01 |
| Left (n=160) | 40 (25.0) | 38 (23.8) | 82 (51.3) | ||
| Total: | 63 (19.7) | 59 (18.4) | 198 (61.9) |
Discussion
The anatomical variability in the ostia may be clinically important during surgical procedures such as Functional Endoscopic Sinus Surgery (FESS) and Balloon Catheter Dilation. The diameters of the PMO and their variable locations can give the oral surgeon and endoscopic sinus surgeons a better understanding as they can expect anatomical variations according to ethnicities, gender and the side of the sinus. This will determine the duration of the surgery, the possible complications associated with it as well as the best techniques and instrumentation to be used 6, 10. In addition, the decreased size of the PMO could lead to sinus obstruction, difficulty in mucus drainage and possibly increase the risk of maxillary sinusitis 11. Anatomic variations such as infraorbital ethmoid cell (Haller Cell) could also cause the PMO diameter to be small leading to increasing pathogenic effect in the sinuses 3.
Many studies have been carried out on PMO location in a homogenous population 8, 12, however, no research has been done in Malaysia concerning location and diameter of the primary maxillary ostium among the Mongoloid races.
Considering further on the anatomical variability, this study showed that the PMO mean diameter of the Mongoloid race in Malaysia is 1.92 mm with females having significantly larger diameters than males. Whereas in the study by Aust and Drettner (1974), they reported a mean diameter of 2.4 mm (using rhinomanometry and nomography methods) with no difference in the osteal size between genders 13. This difference could be explained as our sample population was a Mongoloid population, while their research was on Caucasoid. In the study by Tarhan et al., (2005), they used acoustic rhinometry method to determine the maxillary ostium size in Turkish population. They revealed that the osteal diameter ranged from 0.8-2 mm which was similar than those recorded in other populations 12.
Furthermore, our study showed a significant difference in bilateral PMO diameters between Malay and Chinese population were compared. This is indeed interesting in that despite having the same racial origin, variations in ethnicity caused the difference in PMO size. This could be possibly explained that generally the Chinese had larger PMO size to help with the warming and humidification of the cold air as many of them have been living in the cold parts of China prior to migrating to Malaya. On the contrary, the Malays have been living for a longer period of time in the hot, humid, tropical climate of Malaysia and this environmental factor could have possibly caused evolutionary changes with the shrinkage of their PMO size as warming and humidification of the air are not as essential. This proved similar in the Samoans, where its quoted: “Samoans are of the Mongoloid race but their features represent a slightly different evolution since their time of separation from the parental stock”.
Locating the natural maxillary ostium is paramount to surgeons as forming a false surgical ostium could cause mucocilliary recirculation and even recurrent sinusitis. This could also increase the health care expenses due to the need for revision endoscopic sinus surgeries in the long run 14, 15. Additionally, Endoscopic sinus surgeons should understand the anatomic variations of the PMO as it could help them recognize the direction and angles that the guidewire should be manipulated to enter the natural ostium successfully. Failure to do so could result in orbital complications, nasolacrimal duct laceration or deformation of a surgical ostium 6, 8, 10, 14.
The primary maxillary ostium may be found at any point along the course of the ethmoid infundibulum. In the present study, the natural maxillary ostium was more commonly found to open into the posterior third of the hiatus semilunaris in 198 (61.9%) of subjects, while it opened in the middle third in 59 (18.4%) and anterior third in 63 (19.7%) of the subjects. Similar findings were reported by Van Alvea (1936), where the opening of maxillary ostium was into the anterior third of the uncinate groove in 9 (5.53%) of subjects, middle third in 18 (11.04%), posterior third in 117 (71.8%) and extreme posterior tip of the groove in 19 (11.65%) of the subjects 7. Singhal (2013) also stated that maxillary ostium was located at different positions of the hiatus semilunaris when studing dissected specimens of the head. Their results were as follows: posterior third of hiatus semilunaris in 78 (84.24%), middle third in 26 (28.08%) and anterior third in 4 (4.32%) of the specimens 16. Similar results were reported by Prasanna and Mamatha (2010), Nayak et al., (2014) with most cases the PMO located in the posterior third position 10, 17. In an another related study by Souza et al. (2016), they analyzed the location of PMO as being at the upper third, middle third and lower third of the hiatus semilunaris. They found that most were located in upper third (40 cases), middle third (10 cases) and none was observed in the lower third 8.
Comparisons in the location of PMO were made between left and right sides and this was statistically significant. However, the comparisons between the genders was not statistically significant. Comparisons were also done between the Malay and Chinese ethnicity, and it showed a statistically significant difference. The difference between both ethnicities could be possibly related to the environmental factors at play as the Malays have been living longer in the tropics compared to the Chinese.
Surprisingly, our study showed a greater anterior third position of PMO, which is almost 19.6% of our sample population. This can be problematic as Sikand (2011) mentioned that the anterior superior position of the natural ostium could be difficult to identify as it is located close to the uncinated attachment 18. In addation, Cone-Beam Computed Tomography (CBCT) could also be utilized to its full potential in Malaysia as pre-operative modality before any intervention on the maxillary ostia or sinus as it depicts the osteomeatal unit and the sinus accurately with clarity and with a 3- dimensional option as well.
Conclusions
This study clearly shows the anatomic variations of the primary maxillary ostium in the two largest ethnic groups of the Mongoloid race in Malaysia, the Malays and Chinese. The mean diameter of the primary maxillary ostium among Mongoloid race is significantly greater in female than the males and in the Chinese than the Malays. The diameter of the maxillary sinus indicated bilateral asymmetry, where the right side revealed grater diameter than the left side in both gender and ethnicity, this was hardly reported in other earlier studies. The maxillary ostium commonly opens into the posterior third of the hiatus but with a greater anterior third position when compared with other populations. This knowledge about the PMO diameter and location variations is crucial when determining the direction and angles that the guidewire should be manipulated to enter the natural ostium successfully and thereby avoiding any untoward complications.
Acknowledgements
This work was supported by University of MAHSA Research grant (RP93-09/16).
References
- 1.Beule A. (2015) Epidemiology of chronic rhinosinusitis, selected risk factors, comorbidities, and economic burden: GMS Curr Top Otorhinolaryngol Head Neck Surg. doi: 10.3205/cto000126. 14: Doc11
- 2.Izhar L I, Asirvadam V S. (2009) Segmentation of Sinus Images for Grading of Severity of Sinusitis. Proceedings of International Visual Informatics Conference , Kuala Lumpur, Malaysiap 20, 202-212.
- 3.Azila A, Irfan M, Rohaizan Y, Shamim A K. (2011) The prevalence of anatomical variations in osteomeatal unit in patients with chronic rhinosinusitis. , Med J Malaysia 66, 191-4.
- 4.Kumar H, Choudhry R, Kakar S. (2001) Accessory maxillary ostia: topography and clinical application. , J Anat Soc India 50, 3-5.
- 5.Liang J, Lane A P. (2011) Topical drug delivery for chronic rhinosinusitis. , Curr Otorhinolaryngol Rep 1, 51-60.
- 6.May M, Sobol S M, Korzec K. (1990) The location of the maxillary os and its importance to the endoscopic sinus surgeon. , Laryngoscope 100, 1037-1042.
- 7.O Van Alyea. (1936) The ostium maxillare: anatomic study of its surgical accessibility. , Arch Otolaryngol 24, 553-569.
- 8.Souza A, Rajagopal K, Ankolekar V, Souza A, Kotia S. (2016) Anatomy of maxillary sinus and its ostium: A radiological study using computed tomography. , CHRISMED J Health Res 3, 37-40.
- 9.Beale T J, Madani G, Morley S J. (2009) Imaging of the paranasal sinuses and nasal cavity: normal anatomy and clinically relevant anatomical variants. Semin Ultrasound CT MR. doi: 10.1053/j.sult.2008.10.011 1, 2-16.
- 10.Prasanna L, Mamatha H. (2010) The location of maxillary sinus ostium and its clinical application. , Indian J Otolaryngol Head Neck Surg 62, 335-337.
- 11.Hood C M, Schroter R C, Doorly D J, Blenke E J, Tolley N S. (2009) Computational modeling of flow and gas exchange in models of the human maxillary sinus. , J Appl Physiol 107, 1195-1203.
- 12.Tarhan E, Coskun M, Cakmak O, Celik H, Cankurtaran M. (2005) Acoustic rhinometry in humans: accuracy of nasal passage area estimates, and ability to quantify paranasal sinus volume and ostium size. , J Appl Physiol 99, 616-623.
- 13.Aust R, Drettner B. (1974) The functional size of the human maxillary ostium in vivo. , Acta Otolaryngol 78, 432-435.
- 14.Bewick J, Egro F M, Masterson L, Javer A R, Philpott C M. (2016) Anatomic findings in revision endoscopic sinus surgery: Case series and review of contributory factors. , Allergy Rhinol (Providence) 7, 151-157.
- 15.Chung S, Dhong H, Na D. (1999) Mucus circulation between accessory ostium and natural ostium of maxillary sinus. , J Laryngol Otol 10, 865-867.
- 16.Singhal M, Singhal D. (2013) Maxillary sinus Ostium-Morphology and its clinical relevance. , Cibtech J of Surg 2, 26-29.
Cited by (4)
This article has been cited by 4 scholarly works according to:
Citing Articles:
Aisyah Puteri Abi Abdillah, Rizky Firmansyah, Dewi Ari Mulyani, Elvina Prisila, Muriana Novariani et al. - BIO Web of Conferences (2024) Semantic Scholar
BIO Web of Conferences (2024) Crossref
BIO Web of Conferences (2024) OpenAlex
Ear, Nose & Throat Journal (2023) Crossref
Ear Nose & Throat Journal (2023) OpenAlex
Fateme Aghaee, E. Moudi, Nazmehr Vahdani, A. Bijani, S. Haghanifar - Ear, nose, & throat journal (2023) Semantic Scholar

